Unusual orthodontic retreatment
Guilherme Janson, DDS, MSc, PhD, MRCDC,a Marcos R. Janson, DDS,b Karina Santana Cruz, DDS, MSc,cJose´ Fernando Castanha Henriques, DDS, MSc, PhD,d and Marcos Roberto de Freitas, DDS, MSc, PhDe

This case report describes the retreatment of a patient with a Class II Division 1 malocclusion; she had the
same anteroposterior discrepancy after undergoing fixed appliance treatment with extraction of 4 first
premolars. (Am J Orthod Dentofacial Orthop 2003;123:468-75)
Class II malocclusions that are treated with extraction of 4 premolars require significant patient compliance and anchorage control to ensure a successful result.1-9 However, not all patients comply as required, and anchorage can be difficult to control. Therefore, poor results can be expected, primarily in correcting an anteroposterior (AP) discrepancy. 1,2,4,10,11 In this case report, we present the retreatment of a patient with a Class II malocclusion who was initially treated with 4 first premolar extractions, but, at the end, the same amount of Class II AP discrepancy remained. This unusual retreatment consisted of extracting the maxillary second premolars to correct the large overjet. The mechanotherapy and the pros and
cons of this approach are discussed.
ASSOCIATE PROFESSOR, DEPARTMENT OF ORTHODONTICS, BAURU DENTAL SCHOOL, UNIVERSITY OF SA˜O PAULO, BRAZIL.BPRIVATE PRACTICE, BAURU, SA˜O PAULO, BRAZIL.CORTHODONTIC GRADUATE STUDENT, PHD PROGRAM, BAURU DENTAL SCHOOL, UNIVERSITY OF SA˜O PAULO, BRAZIL.DPROFESSOR AND HEAD OF THE DEPARTMENT OF ORTHODONTICS, BAURU DENTAL SCHOOL, UNIVERSITY OF SA˜O PAULO, BRAZIL.EASSOCIATE PROFESSOR, DEPARTMENT OF ORTHODONTICS, BAURU DENTAL SCHOOL, UNIVERSITY OF SA˜O PAULO, BRAZIL.REPRINT REQUESTS TO: DR GUILHERME JANSON, DEPARTMENT OF ORTHODONTICS, BAURU DENTAL SCHOOL, UNIVERSITY OF SA˜O PAULO, ALAMEDA OTAVIO PINHEIRO BRISOLLA9-75, BAURU-SP-17012-901, BRAZIL; E-MAIL, JANSONG@TRAVELNET.COM.BR.SUBMITTED, OCTOBER 2001; REVISED AND ACCEPTED, JANUARY 2002.COPYRIGHT © 2003 BY THE AMERICAN ASSOCIATION OF ORTHODONTISTS.0889-5406/2003/$30.00 0DOI:10.1067/MOD.2003.80
DIAGNOSIS AND ETIOLOGY
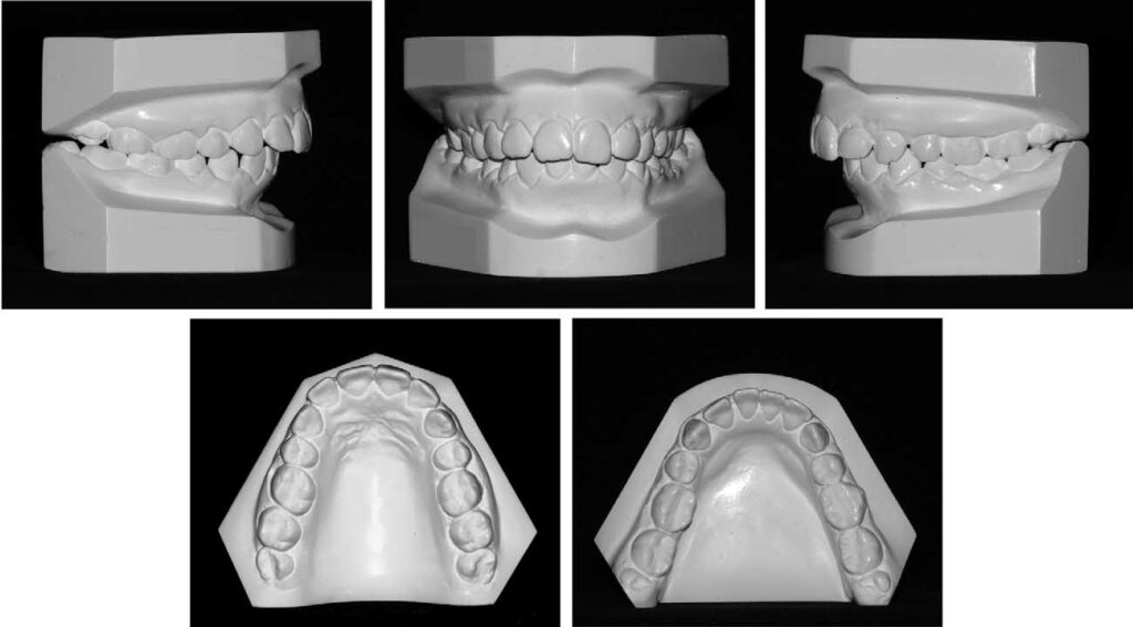
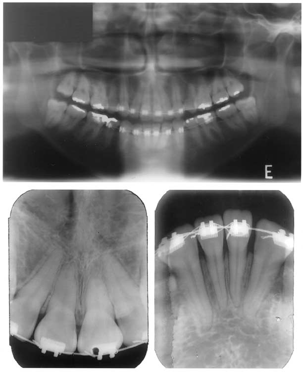
A 23-year-old woman came for orthodontic treatment to the private orthodontic office of Dr M.R.J. Her major complaint was the persisting large overjet. She was undergoing orthodontic treatment with extraction of 4 first premolars to correct a Class II Division 1 malocclusion. Unfortunately, her treatment was not proceeding well because of her lack of compliance with headgear to reinforce anchorage. As a result, despite the extractions, she still had a significant overjet (Figs 1-3). There was no crowding, and the curve of Spee was mild. Because she was not satisfied with her progress at that stage, she abandoned treatment, with the orthodontic appliances still in place. One and a half years later, she decided to continue her treatment with Dr M.R.J. Cephalometrically, there was a severe Class II skeletal relationship with compensating maxillary and mandibular incisor tipping. The soft tissue profile was convex with a retruded mandible and chin (Fig 4 and Table). However, the patient said nothing about these characteristics. Radiographically, the maxillary third molars were in a favorable position functionally, but the mandibular third molars were not. Because of the previous unsuccessful orthodontic treatment, the maxillary incisors already had significant root resorption (Fig 5). There were no signs of active periodontal disease.
TREATMENT OBJECTIVES
The overall treatment objectives consisted of correcting the AP apical base and the occlusal relationships by advancing the retruded mandible. The compensatory tipping of the maxillary and mandibular incisors would also be corrected. As a consequence of these changes, an improvement of her soft tissue profile would be produced. However, the patient was unconcerned about her profile, so the objective of treatment was to reduce the overjet.
TREATMENT ALTERNATIVES
Based on the objectives, 3 treatment options were proposed. To obtain the overall objectives, a combined surgical and orthodontic treatment with mandibular advancement was proposed. However, the risks and treatment expenses would be high. The second option consisted of extracting the maxillary second premolars and retracting the anterior teeth. Although the risks and costs of this option were less than the other option, it demanded more time as well as compliance from the patient. The third option consisted of extracting the maxillary second premolars and chin augmentation to
improve her profile. Because she was very reluctant to undergo surgery and was willing to accept a compromised or less than ideal result, she chose the second treatment option. Her major concern was the large persisting overjet, and she was satisfied with her profile. Therefore, orthodontic treatment with extraction of maxillary second premolars was performed to correct her 5-mm overjet and the persistent Class II canine relationship (Fig 6).

Fig 1. Facial photographs before retreatment.

Fig 2. Intraoral photographs after incomplete treatment that included removing 4 first premolars.
TREATMENT PROGRESS
The malocclusion was treated with conventional 0.022-in slot edgewise appliances. A transpalatal arch was soldered to the first molars to reinforce anchorage, and a cervical headgear was installed, to be worn 18 hours a day. Additionally, the maxillary second molars were banded to enhance the anchorage. Patient compliance with the headgear was excellent. The anterior segmental retraction was accomplished with rectangular stainless steel archwires (0.019 0.025 in), intramaxillary elastic chains, and Class II elastics (5⁄16 in). When the canines reached a Class I relationship, and the extraction spaces were closed, the transpalatal arch was removed, and the use of headgear was discontinued. Finishing occlusal procedures were then undertaken. Active treatment time was 35 months. The patient was retained with a maxillary Hawley plate and a mandibular bonded canine-to-canine retainer.
RESULTS
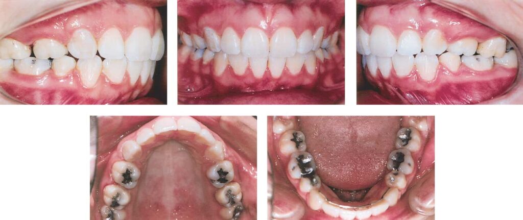
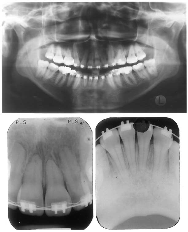
The facial photographs show that the posttreatment profile was satisfactory (Fig 7). The patient was satisfied with her teeth and profile. The final occlusion showed reasonable Class I canine and Class II molar relationships on both sides (Figs 8-10). The maxillary third molars and the mandibular third molars were in function. Root resorption was minimal, even though this was a retreatment (Fig 11). The superimpositions show that the maxilla was slightly retruded with the extractions, and the mandible experienced a small downward and backward rotation (Fig 12 and Table). The maxillary incisors were retruded and palatally tipped even farther, and the molars moved slightly forward (Fig 12, B and C). The mandibular incisors were tipped labially and protruded, and the molars showed a slight mesial displacement and extrusion (Fig 12, D). All of these changes were expected to be associated with the treatment approach, except for the forward maxillary molar displacement. This reflects that, despite all the precautions taken, there was still some undesirable anchorage loss. This compromised attaining a perfect Class I canine relationship. Occlusal equilibration was performed after appliance removal to refine the tooth contact.

Fig 3. Study models before retreatment.

Fig 4. Cephalometric tracing before retreatment.

Fig 5. Panoramic and periapical radiographs before retreatment, with old appliances still in place.

Fig 6. Intraoral progress photographs show second premolar extraction sites during leveling and alignment.

DISCUSSION
Although this retreatment approach could be considered unusual and perhaps risky, it provided satisfactory occlusal and esthetic results. Treatment protocols involving the extraction of up to 8 teeth were once advocated by Begg to correct severe Class II cases.1,12 In these situations, he recommended removing the 4 first molars as a pretreatment step. Later, when the second molars had erupted, 4 premolars were extracted, and treatment began. This patient’s initial characteristics were similar to many Class II untreated patients, except for the absence of the 4 premolars. Therefore, a similar treatment rationale—extracting 2 maxillary premolars—could be applied to correct the large overjet. 13-18 Correcting this malocclusion by a surgical-orthodontic
approach, primarily by advancing the mandible, could have provided even better profile results.8,19 However, because the patient did not want surgery and chose a nonsurgical approach, extraction of the maxillary second premolars was the only choice.8,20,21 This option could be applied because there was a mild upper lip protrusion.22,23 The availability of the maxillary third molars also helped to support the anchorage. Additionally, Class II elastics were used to move the mandibular teeth mesially to help correct the AP discrepancy.
In some cases, the better treatment option could be no treatment. This alternative would be chosen if the clinician realizes that the cost outweighs the benefits of treatment. When this rationale was applied to this patient, it became evident that the benefits of the treatment outweighed the costs. The patient’s major concern was to reduce the overjet, and this option could fulfill that objective. However, the patient could have overemphasized the need to reduce the overjet because of her frustration with the first treatment attempt, and this could also have affected the orthodontist’s decision for treatment.
On the other hand, conditions that could have contraindicated this treatment approach would be severe resorption of the incisors caused by the previous orthodontic treatment attempt, potential root resorption, temporomandibular joint symptoms, or active periodontal disease. Although her maxillary incisors exhibited greater root resorption than usual, we did not consider this factor to be a contraindication for treatment if we used light forces and evaluated progress with periapical radiographs. Additionally, she did not exhibit potential local factors for root resorption. 24-26
If this patient had exhibited temporomandibular joint symptoms, it would have been advisable to begin orthodontic treatment after that problem was properly diagnosed and treated.27 Orthodontic treatment could have been an important part in correcting that disorder. 28 Although orthodontic treatment usually reduces the incidence of temporomandibular disorders,29 it might not provide a complete solution.30 Therefore, treatment of the temporomandibular joint symptoms would have to be coordinated with the orthodontic treatment.
Active periodontal disease could be another contraindication for this type of treatment, depending on the amount of supporting bone loss. In case of active periodontal disease, periodontal treatment should be performed before orthodontic treatment. After orthodontic treatment, the periodontal condition should be reevaluated. If the periodontal support is only partially compromised, orthodontic treatment could still be carefully undertaken. Nevertheless, if the periodontal support is severely compromised, treatment with extractions, which require great tooth movements, would be
contraindicated. Therefore, in that situation, the best solution would be surgical advancement of the mandi-

Fig 7. Posttreatment facial photographs.

Fig 8. Posttreatment photographs after space closure and removal of fixed appliances.
ble, because the teeth would only have to be aligned preoperatively. This would not cause greater risk to support.31 Although orthodontic tooth movement when there is active periodontal disease can result in further bone loss,32,33 well-controlled orthodontic therapy when tissues are healthy can result in stable or increased bone levels.34
Critical assessment of the maxillary canine position shows that they are not in a Class I relationship (Figs 8 and 9). However, this was a retreatment of an adult. Orthodontic movement in adults is possible, but there are limitations. This patient cooperated in wearing the headgear to reinforce anchorage, but this was the maximum that the canines could be retracted. Additional improvement of the canine position would also require greater labial torque applied to the maxillary incisors. This could increase the risk of additional root resorption and prolong treatment time. Because of these limitations, the final position of the canines was satisfactory in this patient.
Another questionable aspect of this approach is placing the canines in contact with the first molars. From an esthetic perspective, this does not seem to
detract from the patient’s smile (Fig 7). Although a good result was accomplished, this approach is not a common retreatment solution for Class II Division 1 malocclusions. It is an alternative in certain retreatment cases in which the maxillary third molars are available, and the patient’s profile allows for retracting the maxillary incisors. The clinician must offer alternative choices that produce a good functioning environment for each patient.35

Fig 9. Posttreatment study models.

Fig 10. Posttreatment tracing.

Fig 11. Posttreatment panoramic and periapical radiographs.
Note maxillary and mandibular incisors (radiographs
taken 3 months before finishing procedures,
with appliances in place).

Fig 12. Superimpositions of initial and final tracings: A, Overall superimposition on BaN at CC; B,
superimposition on BaN at N; C, superimposition on palatal plane at anterior nasal spine; D,
superimposition on mandibular plane.
CONCLUSIONS
Class II cases, poorly treated with 4 first premolar extractions, with a large, unpleasant overjet, can be successfully retreated with additional extractions of the maxillary second premolars. However, the decision to Fig 12. Superimpositions of initial and final tracings: A, Overall superimposition on BaN at CC; B, superimposition on BaN at N; C, superimposition on palatal plane at anterior nasal spine; D, superimposition on mandibular plane. American Journal of Orthodontics and Dentofacial Orthopedics April 2003
474 Janson et al undertake this procedure must be based on a sound diagnosis and discussed with the patient.
References
1. Begg PR, Kesling PC. Begg orthodontic theory and technique. 2nd ed. Philadelphia: W. B. Saunders; 1971.
2. Braun S, Sjursen RC Jr, Legan HL. On the management of extraction sites. Am J Orthod Dentofacial Orthop 1997;112:645- 55.
3. Creekmore TD, Cetlin NM, Ricketts RM, Root TL, Roth RH. JCO roundtable. Diagnosis and treatment planning. J Clin Orthod 1992;26:585-606.
4. Cureton SL, Regennitter FJ, Yancey JM. Clinical versus quantitative assessment of headgear compliance. Am J Orthod Dentofacial Orthop 1993;104:277-84.
5. Gross A, Schwartz C, Kellum G, Bishop F. The effect of a contingency contracting procedure on patient compliance with removable retention. J Clin Orthod 1991;25:307-10.
6. Mayerson M, Alexander RGW, Alexander CM, Alexander CD, Alexander JM. Management and marketing: creating the compliant patient. J Clin Orthod 1996;30:493-7.
7. Mehra T, Nanda RS, Sinha PK. Orthodontists’ assessment and management of patient compliance. Angle Orthod 1998;68:115- 22.
8. Proffit WR. Forty-year review of extraction frequencies at a university orthodontic clinic. Angle Orthod 1994;64:407-14.
9. Richter DD, Nanda RS, Sinha PK, Smith DW. Effect of behavior modification on patient compliance in orthodontics. Angle Orthod 1998;68:123-32.
10. Harris EF, Vaden JL, Dunn KL, Behrents RG. Effect of patient age on postorthodontic stability in Class II, Division 1 malocclusions. Am J Orthod Dentofacial Orthop 1994;105: 25-34.
11. Starnes LO. Treatment outcome assessment. J Clin Orthod 1996;30:503-5.
12. Sain JA. Concept and commentary: some more atypical cases. J Clin Orthod 1974;8:43-55.
13. Hershey HG. Incisor tooth retraction and subsequent profile change in postadolescent female patients. Am J Orthod 1972;61: 45-54.
14. Huggins D, Mcbridge LJ. The influence of the upper incisor position on soft tissue facial profile. Br J Orthod 1975;2:141-6.
15. Jacobs JD. Vertical lip changes from maxillary incisor retraction. Am J Orthod 1978;74:396-404.
16. Lo FD, Hunter WS. Changes in nasolabial angle related to maxillary incisor retraction. Am J Orthod 1982;82:384-91.
17. Oliver BM. The influence of lip thickness and strain on upper lip response to incisor retraction. Am J Orthod 1982;82:141-9.
18. Rains MD, Nanda R. Soft-tissue changes associated with maxillary incisor retraction. Am J Orthod 1982;81:481-8.
19. Sperry TP. The limitations of orthodontic treatment. Angle Orthod 1993;63:155-8.
20. Cassidy DW, Herbosa EG, Rotskoff KS, Johnston LE. A comparison of surgery and orthodontics in “borderline” adults with Class II, Division 1 malocclusions. Am J Orthod Dentofacial Orthop 1993;104:455-70.
21. Fastlicht J. Adult orthodontics. J Clin Orthod 1982;16:606-18.
22. Bishara SE, Cummins DM, Jakobsen JR, Zaher AR. Dentofacial and soft tissue changes in Class II, Division 1 cases treated with and without extractions. Am J Orthod 1995;107:28-37.
23. Boley JC, Pontier JP, Smith S, Fulbright M. Facial changes in extraction and nonextraction patients. Angle Orthod 1998;68: 539-46.
24. Malmgren O, Goldson L, Hill C, Orwin A, Petrini L, Lundberg M. Root resorption after orthodontic treatment of traumatized teeth. Am J Orthod 1982;82:487-91.
25. Levander E, Malmgren O. Evaluation of the risk of root resorption during orthodontic treatment: a study of upper incisors. Eur J Orthod 1988;10:30-8.
26. Mirabella D, A° rtun J. Risk factors for apical root resorption of maxillary anterior teeth in adult orthodontic patients. Am J Orthod Dentofacial Orthop 1995;108:48-55.
27. Parker WS. Facial plastic surgery, temporomandibular disorders, and orthodontics: a note. Am J Orthod Dentofacial Orthop 1993;104:592-603.
28. Glenn G. An American Board of Orthodontics case report: the orthodontic-surgical correction of a Class II malocclusion with anterior open bite. Am J Orthod Dentofacial Orthop 1996;110: 81-7.
29. Kremenak CR, Kinser D, Melcher TJ, Wright R, Harrison SD, Ziaja RR, et al. Orthodontics as a risk factor for temporomandibular disorders (TMD). II. Am J Orthod Dentofacial Orthop 1992;101:21-7.
30. Reynders RM. Orthodontics and temporomandibular disorders: a review of the literature (1966-1988). Am J Orthod Dentofacial Orthop 1990;97:463-71.
31. Turley PK. An American Board of Orthodontics case report: the surgical-orthodontic management of a Class I malocclusion with excessive overbite and periodontal bone loss. Am J Orthod Dentofacial Orthop 1993;104:402-10.
32. Melsen B. Tissue reaction following application of extrusive and intrusive forces to teeth in adult monkeys. Am J Orthod 1986; 89:469-75.
33. Zachrisson BU. Cause and prevention of injuries to teeth and supporting structures during orthodontic treatment. Am J Orthod 1976;69:285-300.
34. Melsen B. Intrusion of incisors in adult patients with marginal bone loss. Am J Orthod Dentofacial Orthop 1989;96:232-41.
35. Dahan JS. Occlusal and functional evaluations in adults: a case
report. Am J Orthod Dentofacial Orthop 1998;114:551-7.
Още блог статии
Sign up now for one of our courses
Our courses offer comprehensive training, combining solid theoretical foundations with practical skills applicable in various areas of dentistry.















