Class I malocclusion treatment: Influence of a missing mandibular incisor on anterior guidance
Sergio Estelita C. Barros, a Guilherme Janson, b Fernando Cesar Torres, a Marcos Roberto de Freitas,c and Renato Rodrigues de Almeidad

This case report describes the orthodontic treatment of a patient with a deep-overbite Angle Class I malocclusion, agenesis of a mandibular central incisor, and 2 supernumerary teeth, which caused impaction of the mandibular first premolars. The 15-year-old patient also had a convex profile, maxillary dentoalveolar protrusion, and deficiency of space for the correct alignment of teeth. Therefore, treatment consisted of fixed appliance therapy, cervical headgear, extraction of the supernumeraries and the mandibular and maxillary first premolars, and mesiodistal reduction of the maxillary incisors to solve the arch perimeter discrepancy as much as possible with interproximal stripping. This method of treatment significantly improved the patient’s
facial and dental esthetics and provided a good functional occlusion, despite the absence of a mandibular incisor, which generally impairs achieving adequate incisal guidance. (Am J Orthod Dentofacial Orthop 2010;138:109-17)
FROM THE DEPARTMENT OF ORTHODONTICS, BAURU DENTAL SCHOOL, UNIVERSITY OF SAO PAULO, BAURU, BRAZIL.
APOSTGRADUATE STUDENT.
BPROFESSOR AND HEAD.
CPROFESSOR.
DASSOCIATE PROFESSOR.
THE AUTHORS REPORT NO COMMERCIAL, PROPRIETARY, OR FINANCIAL INTEREST IN THE PRODUCTS OR COMPANIES DESCRIBED IN THIS ARTICLE.
REPRINT REQUESTS TO: SE´RGIO ESTELITA C. BARROS, RUA PE. JOA˜O, 14-68, BAURU, SP,
17012-020, BRAZIL; E-MAIL, SERGIOESTELITA@YAHOO.COM.BR.
SUBMITTED, OCTOBER 2007; REVISED AND ACCEPTED, FEBRUARY 2008.
0889-5406/$36.00
COPYRIGHT 2010 BY THE AMERICAN ASSOCIATION OF ORTHODONTISTS.
DOI:10.1016/J.AJODO.2008.02.030
Anomaly can be defined as something that deviates from the rule, type, or form. In dentistry, anomalies can involve the number of teeth, such as supernumerary teeth or agenesis of a tooth.1 Ninety percent to 98% of all supernumerary teeth occur in the maxilla, most commonly in the premaxilla, with an incidence of only 2% to 10% in the mandible.2,3 Nevertheless, supernumerary premolars occur most often in the mandible (74%).4,5 Supernumerary premolars appear to be more common than previously estimated, occurring 3 times more often in males than in females, and with a greater frequency in the permanent dentition.4 The most widely accepted theory for the mechanism of supernumerary development is localized
hyperactivity of the dental lamina. The occurrence of supernumeraries can create various clinical problems such as derangement of the occlusion, prevention of eruption of adjacent permanent teeth, damage to adjacent teeth, cystic degeneration, and root resorption. Hence, clinical and radiographic evaluation of patients should always be thorough to detect them. The absence of teeth can also be a challenge to orthodontists. Hypodontia is the congenital absence of at least 1 tooth. The most commonly missing teeth are the third molars, followed by the maxillary lateral incisors and second premolars. The etiology of agenesis might be related to nutritional, traumatic, infectious, hereditary, or phylogenetic factors.6 Agenesis of canines, maxillary central incisors, and mandibular incisors is relatively rare. The difficulty of achieving adequate functional occlusion
in patients with congenital absence of a mandibular incisor is well known, particularly when the patient has an excessive overbite or overjet and a Bolton toothsize discrepancy with excess in the mandibular anterior teeth.7,8 In these situations, anterior and lateral occlusal guidance will be impaired.
This article presents and discusses the treatment of a patient with Class I malocclusion, with agenesis of a mandibular incisor, deep anterior overbite, excessive overjet, and 2 supernumerary teeth that were blocking the eruption of the mandibular first premolars.
DIAGNOSIS AND ETIOLOGY
A girl, aged 15 years 1 month, had no significant medical history; her chief complaints were spaces between her mandibular teeth and proclined maxillary anterior teeth. Her mother reported no family history of similar malocclusions and mentioned that her daughter had regular dental care. No facial trauma or parafunctional habits were reported. The cause of her malocclusion was presumed to be a combination of genetic and developmental factors.
From a frontal view, her face was well balanced and symmetric (Fig 1). Her facial profile was convex, with an acute nasolabial angle, slight mandibular retrusion, strained lip seal, and normal vertical proportions. Intraorally, she had Angle Class I molar and Class II canine relationships on both sides. The maxillary midline was coincident with the facial midline, and both arch forms were ovoid. Her oral hygiene was excellent, with good periodontal health, and all restorations were satisfactory. She was congenitally missing a mandibular central incisor and had 2 nonerupted mandibular first premolars,
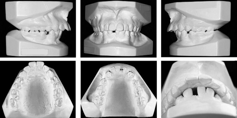
which were impacted by supernumerary teeth. Overbite was excessive (70%), overjet was 6 mm, and both mandibular and maxillary incisors were proclined (Fig 2).
The panoramic radiograph confirmed the presence of the 2 supernumeraries above the mandibular first premolars. The cephalometric analysis showed a skeletal Class II anteroposterior discrepancy with mandibular retrusion. The facial pattern had a slight vertical tendency. Both maxillary and mandibular
incisors were tipped labially (Fig 3). The lateral cephalometric radiograph showed the impacted teeth in the mandible.

Fig 1. Pretreatment facial and intraoral photographs at age 15 years 1 month.
TREATMENT OBJECTIVES
The primary objectives in treating this malocclusion were to eliminate the mandibular spacing and correct the maxillary dentoalveolar protrusion. Additional objectives were to maintain upper lip support for satisfactory facial harmony and the Class I molar relationship. Ideal overjet and overbite relationships were also desirable to improve the esthetics of the occlusion and establish immediate anterior guidance.

Fig 2. Pretreatment study models.
TREATMENT ALTERNATIVES
It was obvious that both supernumeraries should be extracted because they were blocking the eruption of the first premolars, and their positions and shapes were unfavorable. Therefore, the main issues were the severity of the mandibular premolar impaction, the arch-length discrepancy and maxillary tooth-size excess, the lack of space for the mandibular premolars, and the proclination of the mandibular and maxillary incisors. According to these factors, 2 treatment options were presented to the patient. The first included the orthodontic eruption of the mandibular left premolar, after extraction
of the supernumerary teeth and the right mandibular premolar. In this situation, the maxillary first premolars would be extracted to maintain a Class
I molar relationship and reduce the maxillary incisor proclination. This option would involve placing the mandibular left canine in the position of the left lateral incisor, and the mandibular left first premolar would substitute as a canine. The main advantage of this treatment would be to eliminate the arch-length discrepancy, leaving only a small Bolton tooth-size discrepancy because of the greater mesiodistal canine width. The second alternative involved extraction of the supernumeraries and the 4 first premolars to maintain a Class I molar relationship, achieve a Class I canine relationship, and reduce the incisor proclination. This treatment option would require anterosuperior stripping to reduce the arch-length discrepancy created by the missing mandibular incisor. This could be achieved by removing approximately 5 mm of interproximal enamel on the maxillary anterior teeth.
TREATMENT PLAN
Considering the position of the impacted premolars, the negative space discrepancy, and the patient’s profile, we discussed the treatment options with the patient and her parents. We decided to reposition the mandibular left first premolar. A setup was made to simulate the eventual treatment outcome to ensure that the orthodontic treatment would produce successful results.
TREATMENT PROGRESS
The supernumeraries, the maxillary first premolars, and the mandibular right first premolar were extracted initially. Then surgical access and bonding of the mandibular left premolar were accomplished. Treatment began with banding of the maxillary first molars and placing cervical headgear (GAC International, Central Islip, NY), with 450 g of force. This appliance was to be worn 12 hours a day during leveling and alignment and 16 hours a day during tooth retraction to maintain the Class I molar relationship and allow improvement of the excessive overjet and the incisor proclination. Fixed 0.022 3 0.028-in preadjusted appliances were placed, and continuous 0.016-in nickel-titanium archwires were placed, with an open-coil spring to obtain space for the mandibular left premolar. When there was enough space, premolar traction was started. Initial alignment was obtained, and the deep bite was corrected with an accentuated reverse curve ofSpee.Continuous 0.0183 0.025-in nickel-titanium archwires were placed to continue leveling and alignment, and elastic chains were used to encourage the premolar to erupt.However, the premolar did not respond to traction, possibly because of
tooth ankylosis9 after the surgical procedure,10 or perhaps related to the patient’s other tooth anomalies.11 After 8 months of unsuccessful treatment, it was decided to extract the remaining mandibular first premolar. To obtain optimal overjet and immediate lateral and anterior guidance, careful stripping of the mesiodistal surfaces of the maxillary anterior teeth was planned. A wax setup was constructed to simulate the treatment effects and avoid increasing the risk of caries and tooth sensitivity.12
Continuous 0.019 3 0.025-in stainless steel archwires were then placed, to prepare the teeth for the anterior retraction phase. The maxillary anterior teeth were retracted with maximum anchorage, but no anchorage was used in the mandibular arch. After closure of the extraction spaces, interproximal stripping of the anterior teeth was performed, and the open spaces were consecutively closed by using Class II elastics and 0.020-in and 0.019 3 0.025-in stainless steel archwires in the maxillary and mandibular arches, respectively. Vertical intermaxillary elastics (0.75 in, 2 oz) were used for about 6 weeks to obtain satisfactory tooth interdigitation. The appliances were removed, and a maxillary Hawley retainer and a mandibular fixed retainer were placed for retention. The Hawley retainer was worn full time for 18 months, followed by 6 months of nighttime wear, whereas the lingual retainer would be maintained permanently to enhance the long-term stability of the results. The total treatment time was 34 months.
Fig 3. Pretreatment panoramic and cephalometric radiographs.
TREATMENT RESULTS
The patient’s facial esthetics were improved significantly by establishing a passive lip seal (Fig 4). The teeth were well aligned and leveled over the basal
bone. Class I molar and canine relationships were established, with ideal overjet and overbite (Figs 4 and 5). The maxillary dental midline was coincident with the facial midline and with the center of the remaining mandibular central incisor. A mutually protected occlusion was achieved in centric relation, with group function in lateral excursion and anterior guidance in posterior disclusion. Excellent root parallelism was achieved, and root resorption was minimal (Fig 6). Facial esthetics and balance were improved by correcting the maxillary incisor proclination (Figs 7-9). There was improvement of the maxillomandibular relationship (ANB angle and Wits appraisal), incisor inclination, and soft-tissue profile (H and S esthetic lines; naso- and mentolabial angles).
Discussion
In some situations, the intentional extraction of a mandibular incisor can enable the orthodontist to produce enhanced functional occlusal and esthetic results, with minimal orthodontic manipulation and, consequently, minimal profile modification.12 The extraction of a mandibular incisor is primarily indicated in 4 typesof clinical situations: anomalies in the number of anteriorteeth (supernumerary mandibular incisor), toothsizeanomalies (macrodontia of mandibular incisors ormicrodontia of the maxillary lateral incisors), ectopiceruption of incisors (severe malpositioning of the mandibular
incisors), and moderate Class III malocclusions (anterior crossbite or edge-to-edge relationship of the incisors, with a tendency toward anterior open bite).7 Nevertheless, in other situations, a mandibular incisor can be congenitally missing.12 Thus, one must be well aware of the unfavorable anterior tooth-size discrepancy in such situations and of the difficulties and limitations of this problem in achieving a satisfactory occlusal result.
In our situation, the anteroposterior skeletal discrepancy, accentuated overjet, and excessive ovebite were unfavorable characteristics associated with the absence of a mandibular incisor. This was the reason that the first treatment alternative consisted of extracting 3 premolars and substituting the mandibular left premolar for the mandibular left canine. This procedure would eliminate the arch-length discrepancy. However, the tooth did not respond favorably to traction, causing unfavorable collateral effects on the anchorage teeth. This probably occurred because of the relatively deep position of
the impacted premolar, tooth ankylosis, or any of the other eruption disturbances mentioned previously.13 The patient’s age, lack of growth potential, and concern about an extensive treatment time were further complicating factors.14 So, it was decided to extract the impacted premolar. To overcome the resultant deficient maxillary to mandibular incisor relationship (immediate anterior guidance7), interproximal stripping of the maxillary anterior teeth was performed. It is important to eliminate anterior arch-length discrepancies caused by congenital absence of a mandibular incisor.15 This adjustment can be accomplished by reduction of tooth width. However, tooth anatomy and patient sensitivity might limit the amount of tooth stripping. 16 Long-term evaluation of reshaped teeth has demonstrated that careful interdental enamel reduction does not result in iatrogenic damage, and interdental
stripping is not correlated to increased sensitivity, caries susceptibility, and periodontal diseases.17 But for a safe stripping procedure, each interproximal surface should not be stripped more than 0.5 mm, because mean enamel thickness in this anatomic area is not greater than 1 mm.18 Excessive interproximal stripping can cause a transitory increase in tooth sensitivity to changes in temperature,12 especially if water or air cooling is not adequate.17 When too much enamel is removed and dentin is exposed, there is an increased risk for caries.12 This potential problem can be reduced
if the prepared surfaces are carefully smoothed and fluoride mouthrinses are prescribed.17 Additionally, if the interproximal surface is indiscriminately flattened, the interproximal contact will be lengthened gingivally, further reducing the space for the gingival papillae and potentially compromising the cosmetic results.12 In other cases, this interproximal contact lengthening can prevent interdental gingival retraction and black-triangle development after anterior crowding resolution.19 Acording to Kokich and Shapiro,12 in clinical practice, these complications are a less common problem than achieving a satisfactory occlusal result after mandibular incisor extraction. Zachrisson et al17 did not find dental caries, gingival problems, alveolar bone loss, or reduced distances between the roots of anterior teeth with interproximal reduction after a period of 10 years. Interdental stripping of the maxillary anterior teeth is a common clinical procedure when a mandibular incisor is extracted or is congenitally missing.8,12 Several stripping techniques can be used, such as hand-held or motor-driven abrasive strips, hand piecemounted diamond-coated disks, or tungsten carbide or diamond burs.20 To avoid plaque accumulation due to rough interdental surfaces, it is important to eliminate grooves and furrows, making the stripped interproximal
surfaces as smooth as possible.21,22 The finer the grain size used for removing enamel, the easier and less time-consuming the subsequent polishing.21 Consequently, in our patient, mesiodistal enamel reduction was performed with a perforated diamond-coated disk with less than 30-mm grain size at medium speed (about 30,000 rpm) in a contra-angle hand piece.17 The interproximal corners were rounded by using a round or triangular diamond fissure bur (Komet #8833, Gebru¨der Brasseler, Lemgo, Germany) to reestablish the incisal crown shape.23 The subsequent polishing was done with fine and ultrafine Sof-Lex XT disks (3M Espe, St. Paul, Minn) at low speed (200-400 rpm) for approximately 40 seconds each, as recommended by Zhong et al.21,22 The Sof-Lex disks were changed often because of significant deterioration with use. The patient was instructed to use a diluted (0.05%) sodium
fluoride mouthrinse once daily for interproximal surface remineralization, and a topical fluoride agent was also applied immediately after polishing.
A careful and realistic diagnostic setup can be a significant aid in determining whether the occlusal result will be acceptable and consistent with the treatment objectives. It can also help to demonstrate the
Fig 4. Posttreatment facial and intraoral photographs, age 18 years 6 months.
Fig 5. Posttreatment study models.

Fig 6. Posttreatment panoramic and cephalometric radiographs.

Fig 7. Cephalometric tracings superimposed on the sella-nasion plane at sella. Pretreatment, solid lines; posttreatment, dashed lines.
amount of enamel that can be removed from the maxillary incisors without impairing their natural shape.12 The diagnostic setup for this patient showed that approximately 5 mm of interproximal enamel from the 6 maxillary anterior teeth should be removed to establish immediate anterior guidance. However, even with careful water cooling during stripping, the patient’s sensitivity limited the intended amount of stripping to about 3 mm, distributed as equally as possible among the 12 maxillary anterior interproximal surfaces. Tooth sensitivity after stripping is not common,17 but it can be attributed to an individual condition regarding enamel thickness, which was not radiographically evaluated before enamel reduction, as suggested by Kokich and Shapiro.12 The individual variations in patients’ pain thresholds can also explain the early tooth sensitivity. In this case, air cooling during grinding, as suggested by Zachrisson et al17 for successful tooth sensitivity control, was not done. However, no studies have compared water and air cooling during the stripping procedure. When the maxillary anterior tooth width cannot be reduced adequately, excessive overjet might remain. This overjet was avoided by changing the orthodontic mechanics during interproximal space closure. The Class II elastics were used with maxillary round archwires
to allow significant maxillary incisor uprighting.8 The mandibular incisor positions were controlled as much as possible, because of their excessive initial
labial proclinations. But even with these compensatory mechanics, anterior guidance was compromised because of the tooth-size discrepancy.8 Therefore, group function was obtained in lateral excursions. During protrusion, the anterior teeth discluded the posterior teeth. A significant improvement in facial and dental esthetics was produced, despite the absence of a mandibular incisor. The cephalometric superimposition shows
the improved maxillomandibular relationship and compensated incisor position8 (Figs 7-9). The premolar extractions and the use of headgear, Class II elastics, and anterior stripping produced favorable uprighting of the maxillary incisors. There were increases in the facial angles and facial height (FMA, SN.Occl, SN.GoGn, LAFH, and LPFH). The mandibular incisors showed slight labial tipping, probably from the Class II elastics when closing the interproximal spaces. These small dentoalveolar changes also produced favorable soft-tissue changes (Fig 4).
Zachrisson et al17 showed that interproximal reduction of enamel results in stability of alignment in the long term. The irregularity index in the experimental sample was small, even in patients whose retainers had been lost or removed. Their explanation for the excellent stability was that neither canine-to-canine expansion nor mandibular-incisor proclination had been performed. The interproximal enamel reduction increased the available space in the arch. Furthermore, the stripping procedure also provides broader contact areas and thereby results in greater contact stability.24 Because the maxillary anterior segment was not proclined or expanded, and initial crowding was slight, the expected long-term alignment stability for the maxillary
anterior teeth in this patient is good and enhanced by broader contact point areas.24 A Hawley retainer was indicated to help maintain alignment during the first posttreatment year when the relapse tendency is greater.25 A tendency for space reopening after interproximal stripping has not been reported, even when these spaces are used to solve a Bolton discrepancy instead of crowding.7,12,17 It can be speculated that the stability of this procedure is associated with softtissue reactions and orthodontic mechanics for space closing, because the space obtained with enamel reduction is distributed among several reduced interproximal spaces that are closed without producing interproximal gingival tissue excess and without significantly impairing
root parallelism, which is frequently associated with space reopening.26-28
The mandibular anterior segment is a critical region regarding orthodontic treatment stability.29 Canut7 showed that, if mandibular incisors are extracted when there is 3.8 mm (SD, 6 2.1) of mean crowding, after 5 to 8 years after retention, mean crowding of 1.49 mm was observed. Therefore, when mandibular incisors are extracted because of anterior mandibular crowding, the remaining extraction space is closed, and there is no tendency to reopen during the postretention period. However, mild incisor crowding is frequently found. Because of this, it seems likely that the 3-mm space created by the missing mandibular incisor in our patient will not have a tendency to reopen in the long term. Nevertheless, a mandibular canine-to-canine retainer
was bonded to stabilize mandibular incisor alignment. Although tooth extraction is not a stability predictor after orthodontic treatment, some studies have demonstrated that anterior mandibular alignment in the postrentention period is more stable when a mandibular incisor is extracted instead of premolars,7,30 despite its limited indications.7,8,12 Initially, in this patient, the missing mandibular incisor and first premolars resulted in a large overjet, which produced excessive mandibular incisor eruption, resulting in a deep overbite. Because the deep overbite was corrected and the maxillary premolar extractions associated with stripping of the maxillary anterior teeth normalized the excessive overjet, satisfactory overbite stability can be expected because the predisposing factors were eliminated.31 The maxillary Hawley retainer and the mandibular fixed retainer will also help to maintain posttreatment stability.

Fig 8. Cephalometric tracings of the mandible superimposed on the mandibular plane at menton. Pretreatment, solid lines; posttreatment, dashed lines.

Fig 9. Cephalometric tracings of the maxilla superimposed on the palatal plane at ANS. Pretreatment, solid lines; posttreatment, dashed lines.
Conclusion
Treatment of patients with a missing mandibular incisor must result in an anterior tooth relationship that provides immediate anterior guidance during functional mandibular movements. When there is no tooth-size discrepancy, a missing mandibular incisor negatively affects immediate anterior guidance. Therefore, the clinician must perform dental compensation to achieve a satisfactory functional occlusion, as for this patient.
References
1. Basdra EK, Kiokpasoglou MN, Komposch G. Congenital tooth anomalies and malocclusions: a genetic link? Eur J Orthod 2001;23:145-51.
2. Luten JR. The prevalence of supernumerary teeth in primary and mixed dentition. J Dent Child 1967;34:346-53.
3. Primosch RE. Anterior supernumerary teeth assessment and surgical intervention in children. Pediatr Dent 1981;3:204-15.
4. Solares R, Romero MI. Supernumerary premolars: a literature review. Pediatr Dent 2004;26:450-8.
5. Stafne EC. Supernumerary teeth. Dent Cosmos 1932;74:653-9.
6. Schwartz TS. Evaluation of pretreatment and posttreatment skeletal and soft tissue cephalometric measurements in patients exhibiting maxillary lateral incisor agenesis. Am J Orthod 1974;66: 102-3.
7. Canut JA. Mandibular incisor extraction: indication and long-term evaluation. Eur J Orthod 1996;18:485-9.
8. Kokich VO. Treatment of a Class I malocclusion with a carious mandibular incisor and no Bolton discrepancy. Am J Orthod Dentofacial Orthop 2000;118:107-13.
9. Frank CA. Treatment options for impacted teeth. J Am Dent Assoc 2000;131:623-32.
10. Boyd RL. Clinical assessment of injuries in orthodontic movement of impacted teeth. I. Methods of attachment. Am J Orthod 1982;82:478-86.
11. Bacetti T. A clinical and statistical study of etiologic aspects related to associated tooth anomalies in number, size, and position. Minerva Stomatol 1998;47:655-63.
12. Kokich VG, Shapiro PA. Lower incisor extraction in orthodontic treatment. Four clinical reports. Angle Orthod 1984;54:139-53.
13. Borell G, Kuftinec MM, Stom D, Nahlieli O. Bringing impacted mandibular second premolars into occlusion. J Am Dent Assoc 1996;127:1075-8.
14. McNamara C, McNamara TG. Mandibular premolar impaction: 2 case reports. J Can Dent Assoc 2005;71:859-63.
15. BoltonWA.Disharmony in tooth size and its relation to the analysis and treatment of malocclusion. Angle Orthod 1958;28:113-30.
16. Hall N, Lindauer S, Tu¨fekc¸i E, Shroff B. Predictors of variation in mandibular incisor enamel thickness. JAm Dent Assoc 2007;138: 809-15.
17. Zachrisson BU, Nyøygaard L, Mobarak K. Dental health assessed more than 10 years after interproximal enamel reduction of mandibular anterior teeth. Am J Orthod Dentofacial Orthop 2007;131: 162-9.
18. Harris EF, Hicks JD. A radiographic assessment of enamel thickness in human maxillary incisors. Arch Oral Biol 1998;43:825-31.
19. Zachrisson BU. Interdental papilla reconstruction in adult orthodontics. World J Orthod 2004;5:67-73.
20. KeimRG, Gottlieb EL, Nelson AH. 2002 JCO study of orthodontic diagnosis and treatment procedures. J ClinOrthod 2002;36:553-68.
21. Zhong M, Jost-Brinkmann P, Radlanski R, Miethke R. SEM evaluation of a new technique for interdental stripping. J Clin Orthod 1999;33:286-92.
22. Zhong M, Jost-Brinkmann P, Zellmann M, Zellmann S, Radlanski R. Clinical evaluation of a new technique for interdental enamel reduction. J Orofac Orthop 2000;61:432-9.
23. Mentes A, Gescoglu N. An in vitro study of microleakage of sealants after mechanical or air abrasion techniques with or without acid-etching. Eur J Paediatr Dent 2000;1:151-6.
24. Tuverson DL. Anterior interocclusal relations. Parts I and II. Am J Orthod 1980;78:361-96.
25. Melrose C, Millett DT. Toward a perspective on orthodontic retention? Am J Orthod Dentofacial Orthop 1998;113:507-14.
26. Atherton JD. The gingival response to orthodontic tooth movement. Am J Orthod 1970;58:179-86.
27. Edwards JG. Soft-tissue surgery to alleviate orthodontic relapse. Dent Clin North Am 1993;37:205-25.
28. Hatasaka HH. A radiographic study of roots in extraction sites. Angle Orthod 1976;46:64-8.
29. Booth FA, Edelman JM, Proffit WR. Twenty-year follow-up of patients with permanently bonded mandibular canine-to-canine retainers. Am J Orthod Dentofacial Orthop 2008;133:70-6.
30. Riedel RA, Little RM, Bui TD. Mandibular incisor extraction: postretention evaluation of stability and relapse. Angle Orthod 1992;62:103-16.
31. Al-Buraiki H, Sadowsky C, Schneider B. The effectiveness and long-term stability of overbite correction with incisor intrusion mechanics. Am J Orthod Dentofacial Orthop 2005;127:47-55.
Още блог статии
Sign up now for one of our courses
Our courses offer comprehensive training, combining solid theoretical foundations with practical skills applicable in various areas of dentistry.














