Class III subdivision malocclusion corrected with asymmetric intermaxillary elastics
Guilherme Janson,a Marcos Roberto de Freitas,b Janine Araki,c Eduardo Jacomino Franco,dand Se´ rgio Estelita Cavalcante Barrosc

Correcting a Class III subdivision malocclusion is usually a challenge for an orthodontist, especially if the patient’s profile does not allow for any extractions. One treatment option is to use asymmetric intermaxillary elastics to correct the unilateral anteroposterior discrepancy. However, the success of this method depends on the individual response of each patient and his or her compliance in using the elastics. The objectives of this article
were to present a successful treatment of a Class III subdivision patient with this approach and to illustrate and discuss the dentoskeletal changes that contributed to the correction. (Am J Orthod Dentofacial Orthop 2010;138:221-30)
APROFESSOR AND HEAD, DEPARTMENT OF ORTHODONTICS, BAURU DENTAL SCHOOL, UNIVERSITY OF SA˜O PAULO, BAURU, SA˜O PAULO, BRAZIL.
BPROFESSOR, DEPARTMENT OF ORTHODONTICS, BAURU DENTAL SCHOOL, UNIVERSITY OF SA˜O PAULO, BAURU, SA˜O PAULO, BRAZIL.
CPOSTGRADUATE STUDENT, DEPARTMENT OF ORTHODONTICS, BAURU DENTAL SCHOOL, UNIVERSITY OF SA˜O PAULO, BAURU, SA˜O PAULO, BRAZIL.
DPRIVATE PRACTICE, BRASILIA, DISTRITO FEDERAL, BRAZIL.
THE AUTHORS REPORT NO COMMERCIAL, PROPRIETARY, OR FINANCIAL INTEREST IN THE PRODUCTS OR COMPANIES DESCRIBED IN THIS ARTICLE.
REPRINT REQUESTS TO: GUILHERME JANSON, DEPARTMENT OF ORTHODONTICS, BAURU
DENTAL SCHOOL UNIVERSITY OF SA˜O PAULO, ALAMEDA OCTA´VIO PINHEIRO BRISOLLA
9-75, BAURU, SP, 17012-901 BRAZIL; E-MAIL, JANSONG@TRAVELNET.COM.BR.
SUBMITTED, JULY 2008; REVISED AND ACCEPTED, AUGUST 2008. 0889-5406/$36.00
COPYRIGHT 2010 BY THE AMERICAN ASSOCIATION OF ORTHODONTISTS.
DOI:10.1016/J.AJODO.2008.08.036
Orthodontic treatment of adult Class III patients is difficult, especially if the malocclusion is asymmetric.1 A precise diagnosis of the dentoskeletal components of the malocclusion associated with the patient’s primary concern is essential for correct treatment planning.2-9 Similar to correction of Class II subdivision malocclusions, Class III subdivision malocclusions can have a variety of orthodontic treatment options such as nonextraction protocols with intermaxillary elastics, unilateral extraction of 1 mandibular premolar on the Class III side, or extraction of 2 mandibular premolar extractions and 1 maxillary premolar extraction on the Class I side.1,10-13 Malocclusion correction based on the use of intermaxillary elastics is difficult and controversial.11,14-20 However, if it is well indicated in a compliant patient, it can provide satisfactory results.11,17,18 Therefore, the objective of this article was to present the successful orthodontic treatment of a Class III subdivision patient with asymmetric intermaxillary elastic forces. This procedure allowed obtaining a good and stable occlusal relationship and a better esthetic facial profile and smile for the patient.
DIAGNOSIS AND ETIOLOGY
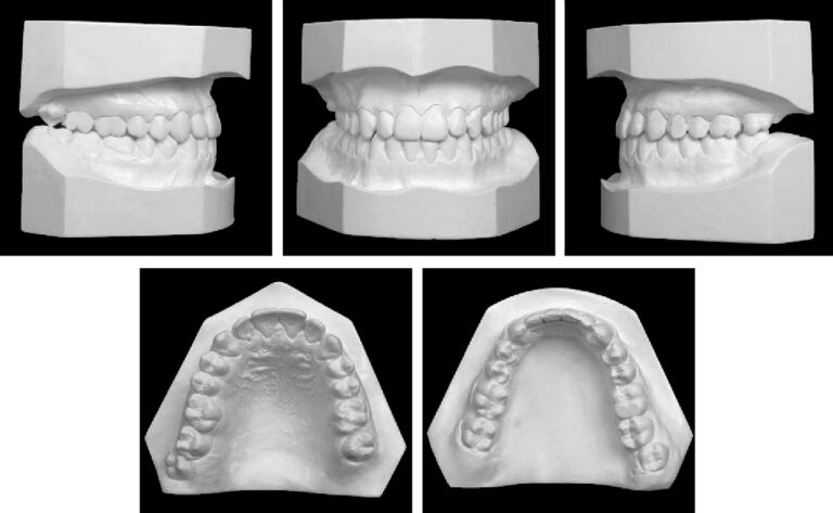
The patient was a man (age, 23 years 11 months) with a Class III subdivision left malocclusion with negative overjet and facial imbalance. His chief concerns were his anterior crossbite and lower lip protrusion. His parents had no Class III characteristics. The facial photographs showed a prognathic mandible and a Class III appearance (Fig 1). The patient could close his lips without mentalis strain, but he was self-conscious about the way his teeth occluded and the appearance of his teeth. The pretreatment intraoral photographs and dental casts show a Class III subdivision malocclusion with Class I on the right and Class III on the left (Figs 1 and 2). There was good alignment of the mandibular incisors, and all teeth were present including the third molars (Fig 3, A). Cephalometrically, he had maxillary retrusion, slight mandibular protrusion, and a balanced facial pattern, with the exception of excessive lower anterior face height. The maxillary incisors were bucally tipped and protruded, and the mandibular incisors were lingually tipped and retruded. He had an acute nasiolabial angle (Fig 3, B and C; Table).
TREATMENT OBJECTIVES
The treatment objectives consisted of correcting the Class III canine and molar relationships on the left side, the dental anterior crossbite, the midline deviation, and the prognathic appearance of the mandible. Functionally, we sought to obtain normal canine and incisal guidance and an esthetic smile.

Fig 1. Pretreatment facial and intraoral photographs.
TREATMENT ALTERNATIVES
Fixed conventional 0.02230.025-in slot edgewise appliances were placed to level and align the maxillary and mandibular arches. The archwire sequence progressed from 0.016-in nickel-titanium alloy to 0.019 3 0.025-in rectangular stainless steel archwires. Concurrently, Class III intermaxillary elasticswere combinedwith anterior diagonal elastics (Fig 4). Class III elastics with rectangular archwires were used for 12 months. After the anteroposterior discrepancy correction, the elastics were used during sleeping hours for 5 months until appliance removal. Patient cooperation in using the elastics was excellent. Treatment time was 2 years 3 months. After debonding, a maxillary Hawley retainer was delivered, and a mandibular canine-to-canine retainer was bonded.

Fig 2. Pretreatment dental casts.

Fig 3. Pretreatment panoramic and cephalometric radiographs and tracing.
TREATMENT PROGRESS
Fixed conventional 0.02230.025-in slot edgewise appliances were placed to level and align the maxillary and mandibular arches. The archwire sequence progressed from 0.016-in nickel-titanium alloy to 0.019 3 0.025-in rectangular stainless steel archwires. Concurrently, Class III intermaxillary elasticswere combinedwith anterior diagonal elastics (Fig 4). Class III elastics with rectangular archwires were used for 12 months. After the anteroposterior discrepancy correction, the elastics were used during sleeping hours for 5 months until appliance removal. Patient cooperation in using the elastics was excellent. Treatment time was 2 years 3 months. After debonding, a maxillary Hawley retainer was delivered, and a mandibular canine-to-canine retainer was bonded.

Co-A, Condylion to A-point; A-Nperp, A-point to nasion-perpendicular; Co-Gn, condylion to gnathion; P-Nperp, pogonion to nasion-perpendicular;
LAFH, lower anterior face height, from anterior nasal spine to menton; Mx1.NA, maxillary incisor long axis to NA angle; Mx1-NA, most anterior
point of crown of maxillary incisor to NA line; Mx1.PP, maxillary incisor long axis to palatal plane angle; Mx1-PP, perpendicular distance between
incisal edge of maxillary central incisor and palatal plane; Md1.NB, mandibular incisor long axis to NB angle; Md1-NB, most anterior point of crown
of mandibular incisor to NB line; Mx6-PP, perpendicular distance between mesial cusp of maxillary first molar and palatal plane; Md1-GoMe, perpendicular
distance between incisal edge of mandibular incisor and mandibular plane; nasolabial angle, angle formed by the most anterior point on
the upper lip to a line from subnasion to columella; upper lip to S line, from the most anterior point on the upper lip to a plane from the center of the
S-shaped curve between the tip of the nose and the skin subnasale to the soft-tissue pogonion; lower lip to S line, from the most anterior point on the
lower lip to a plane from the center of the S-shaped curve between the tip of the nose and the skin subnasale to the soft-tissue pogonion.

Fig 4. Intraoral progress photographs showing treatment with asymmetric Class III elastics (the
anterior diagonal elastic is not illustrated).

Fig 5. Posttreatment facial and intraoral photographs.
TREATMENT RESULTS
The facial photographs show improvement in the facial profile (Fig 5). The intraoral photographs and dental casts show a bilateral Class I molar and canine occlusion with normal overjet and overbite (Figs 5 and 6). Good intercuspation, interproximal contacts, and satisfactory root parallelism were achieved (Fig 7, A). The final cephalometric radiograph, tracing, and superimposition show that the maxillary incisors were labially tipped and slightly protruded, and the maxillary molars were slightly mesially displaced (Figs 7, B and C, and 8). The mandibular incisors were slightly lingually tipped and retracted. There was also an increase in upper lip projection, and the mandible underwent slight clockwise rotation. The patient was satisfied with his dental and facial appearance.

Fig 6. Posttreatment dental casts.
DISCUSSION
Patient compliance in using asymmetric Class III elastics was crucial for success. The effects of Class III elastics caused a small maxillary protrusion, and
the mandible had a small retrusion, probably consequent to the backward and downward rotation that this apical base experiences when Class III elastics are used11,16,22 (Table). These changes in the apical anteroposterior position contributed to the improvement in their relationship. Accordingly, concomitant increases in the growth pattern angles were observed, with the exception of the occlusal plane angle to SN. However, these are also expected changes with Class III elastics. 7,11,16,18,22 The occlusal plane experienced a small counterclockwise rotation under the influence of the Class III elastics; this is a normal result from these elastics.11,16,23-25 The maxillary incisors were labially tipped and protruded, and the mandibular incisors were
lingually tipped and retruded. The vertical component of the elastics produced small extrusions of the maxillary molars and mandibular incisors. As a consequence of these skeletal and dentoalveolar changes, there was a decrease in the nasolabial angle, protrusion of the upper lip, and retrusion of the lower lip, significantly improving his facial profile (Table, Figs 5-8).
If the patient’s compliance had not been good in using the elastics, another option would have been to extract the mandibular left first premolar. According to Class III subdivision malocclusion characteristics, with the maxillary midline coincident to the midsagittal plane and the mandibular midline deviated to the right, this could be considered the best choice to correct the midline deviation and the occlusal discrepancy.1 However, this would not be a favorable treatment alternative for the desired soft-tissue changes because the anterior crossbite would be corrected by retraction of the mandibular incisors with little or no protrusion of the maxillary incisors; this would cause less improvement in the facial profile than the nonextraction alternative. On the other hand, it could be argued that the use of asymmetric Class III elastics could deviate the maxillary midline to the right as an unfavorable side effect. Yes, this could be possible, but in choosing between these 2 treatment options one must select the protocol that will fulfill most of the treatment objectives, with the fewest collateral side effects. Based on this, it was thought that the nonextraction option would provide a more favorable profile change, and that the resulting unfavorable maxillary midline deviation would be within acceptable limits. According to Johnston et al,26 deviations up to 2 mm of the dental midline to the midsagittal plane can be clinically satisfactory. The final extraoral smiling photograph confirms this (Fig 5).
It has been stated that anteroposterior intermaxillary elastics produce significant vertical adverse effects.16,18,20,25,27,28 This can be true if their use is
not properly monitored. Use of the correct resistant torques in the maxillary and mandibular incisors to counteract the Class III elastic forces on these teeth is essential. In this patient, the adverse effects seem to have been well controlled, because only small extrusions of the maxillary molars and mandibular incisors were apparent (Fig 8). Inclusion of the second molars might also have helped in controlling the adverse effects of the elastics.20,27 Class III elastics especially are believed to cause counterclockwise rotation of the occlusal plane and inversion of the natural esthetic smile line.11,16 A small counterclockwise rotation of the occlusal plane occurred, but with no significant negative influence on the smile line because of proper control of its use (Figs 5 and 8). The use of Class III elastics also causes backward and downward mandibular rotation.7,11,16,25 The backward mandibular rotation is favorable for correcting a Class III malocclusion because it improves the anteroposterior discrepancy of the apical bases. In this patient, the downward rotation was acceptable because of his predominant horizontal growth pattern characteristics.11,16,25,29
Stability of the correction was addressed by using Class III elastics during 5 months of nighttime wear, after correction of the anteroposterior iscrepancy. For this amount of asymmetric Class III anteroposterior discrepancy, it can be considered satisfactory.11 Concerns with stability in corrected Class III adults are not as critical as in growing patients because there is no adverse growth to reestablish the problem.23,30,31 Therefore, the chances are greater for stability in treated Class III adults. Nevertheless, follow-ups every 6 months are recommended for at least 2 years.11,31 Two years after treatment, the occlusal and esthetic results have remained stable, despite small cephalometric changes (Figs 9 and 10). This stability is probably
consequent to the association of the procedures described above. Cephalometrically, from posttreatment to the 2-year follow-up, there were slight labial tipping and protrusion of the maxillary incisors and mandibular incisors (Fig 11, Table). Because the mandibular incisors were lingually tipped and retruded during treatment, possibly this was consequent to a small relapse tendency of the mandibular incisors to return to their original position.
32,33 Consequently, the maxillary incisors also experienced some labial tipping through their relationship with the mandibular incisors. The occlusal
plane angle also slightly increased, showing a tendency to return to its original angulation. This might have contributed to the small relapse of the Class III apical base discrepancy evaluated by the Wits appraisal. The mild counterclockwise rotation of the mandible shows the temporary characteristic of the
mandibular rotation after treatment.34,35 However, these posttreatment cephalometric changes were small and did not compromise the occlusal and esthetic results. Treatment with intermaxillary elastics is also suspected of causing much relapse.36 This might be true if active retention is not used for a sufficient amount of time after correcting the anteroposterior Class II or Class III discrepancy. Nevertheless, this is not valid only for treatment with intermaxillary elastics but for most Class II and Class III anteroposterior discrepancy correction. Class II nonextraction treatment with headgears and
removable or fixed functional appliances also needs some time of active retention to be stable.37-39 Therefore, it seems that it is not the orthodontic
appliance or device that determines treatment stability but the way it is used and especially if enough active retention time was used before the patient was finished. Therefore, the stability obtained in this patient, treated with asymmetric Class III intermaxillary elastics, seems to illustrate this principle.
Evidently, An orthodontic-surgical approach could have produced greater skeletal correction of the Class III discrepancy, but the treatment should aim to solve the patient’s primary concern.7,8,40 Because this patient’s concern was primarily his dental appearance, the clinician obtained the most from the orthodontic mechanics available to satisfy his needs.

Fig 7. Posttreatment panoramic and cephalometric radiographs and tracing.

Fig 8. Superimposition of initial and final tracings.

Fig 9. Two-year follow-up facial and intraoral photographs.

Fig 10. Two-year follow-up dental casts.

Fig 11. Superimposition of final and 2-year follow-up
tracings.
CONCLUSIONS
Successful occlusal and esthetic correction with satisfactory long-term stability of an adult with an asymmetric Class III malocclusion can be accomplished with asymmetric Class III intermaxillary elastics when patient compliance in using the elastics is satisfactory.
References
1. Janson G,Woodside DG, Metaxas A, Henriques JFC, Freitas MR. Orthodontic treatment of subdivision cases.World J Orthod 2003; 4:36-46.
2. Jacobson A, Evans WG, Preston CG, Sadowsky PL. Mandibular prognathism. Am J Orthod 1974;66:140-71.
3. Alavi DG, Begole EA, Schneider BJ. Facial and dental arch asymmetries in Class II subdivision malocclusion. Am J Orthod 1988; 93:38-46.
4. Ellis E, McNamara JA. Components of adult Class III malocclusion. J Oral Maxillofac Surg 1984;42:295-305.
5. Sanborn RT. Differences between the facial skeletal patterns of Class III malocclusion and normal occlusion. Angle Orthod 1955;25:208-22.
6. Arslan SG, Kama JD, Baran S. Correction of a severe Class III malocclusion.AmJ Orthod Dentofacial Orthop 2004;126:237-44.
7. Bilodeau JE. Class III nonsurgical treatment: a case report. Am J Orthod Dentofacial Orthop 2000;118:560-5.
8. EisenhauerAS, Lux CJ, Schuster G. Treatment decision in adult patients with Class III malocclusion: orthodontic therapy or orthognathic surgery? Am J Orthod Dentofacial Orthop 2002;122:27-38.
9. Proffit WR, Ackermann JL. A systematic approach to orthodontic diagnosis and treatment planning. St Louis: C.V. Mosby; 1985.
10. Wertz RA. Diagnosis and treatment planning of unilateral Class II malocclusion. Angle Orthod 1975;45:85-94. 11. Janson G, de Souza JE, Alves FA, Andrade P Jr, Nakamura A, de Freitas MR, et al. Extreme dentoalveolar compensation in the treatment of Class III malocclusion. Am J Orthod Dentofacial
Orthop 2005;128:787-94.
12. Cheney EA. The influence of dentofacial asymmetries upon treatment procedures. Am J Orthod 1952;38:934-45.
13. Burstone CJ. Diagnosis and treatment planning of patients with asymmetries. Semin Orthod 1998;4:153-64.
14. Baker HA. Treatment of protruding and receding jaws by the use of intermaxillary elastics. Int Dent J 1904;25:344-56.
15. Bien SM. Analysis of the components of forces used to effect the distal movement of teeth. Am J Orthod 1951;37:514-20.
16. Stewart CM, Chaconas SJ, Caputo AA. Effects of intermaxillary elastic traction on orthodontic tooth movement. J Oral Rehabil 1978;5:159-66.
17. Hanes RA. Bony profile changes resulting from cervical traction compared with those resulting from intermaxillary elastics. Am J Orthod 1959;45:353-64.
18. Ellen EK, Schneider BJ, Sellke T. A comparative study of anchorage in bioprogressive versus standard edgewise treatment in Class II correction with intermaxillary elastic force. Am J Orthod Dentofacial Orthop 1998;113:430-6.
19. Kanter F. Mandibular anchorage and extraoral force. Am J Orthod 1956;42:194-208.
20. Higley BA, Hill NC. Anchorage in orthodontics. Am J Orthod 1960;46:456-65.
21. Frank C. The nonsurgical orthodontic correction of a Class III malocclusion.AmJ Orthod Dentofacial Orthop 1993;103:107-14.
22. Schudy FF. The control of vertical overbite in clinical orthodontics. Am J Orthod 1968;38:19-39.
23. Kondo E, Ohno T. Nonsurgical and nonextraction treatment of a skeletal Class III patient with severe prognathic mandible: long-term stability. World J Orthod 2001;2:115-26.
24. Costa Pinho TM, Ustrell Torrent JM, Correia Pinto JG. Orthodontic camuflage in the case of a skeletal Class III malocclusion. World J Orthod 2004;5:213-23.
25. Lin J, Gu Y. Preliminary investigation of nonsurgical treatment of severe skeletal Class III malocclusion in the permanent dentition. Angle Orthod 2003;73:401-10.
26. Johnston CD, Burden DJ, Stevenson MR. The influence of dental to facial midline discrepancies on dental attractiveness ratings. Eur J Orthod 1999;21:517-22.
27. Tweed CH. Philosophy of orthodontic treatment. Am J Orthod 1945;31:74-103.
28. FischerB.Treatment of Class II, Division 1 differential diagnosis and analysis of mandibular anchorage. Am J Orthod 1948;34:461-90.
29. Lew K. Soft tissue profile changes following orthodontic treatment of Chinese adults with Class III malocclusion. Int J Adult Orthod Orthognath Surg 1990;5:59-65.
30. Nanda SK. Growth patterns in subjects with long and short faces. Am J Orthod Dentofacial Orthop 1990;98:247-58.
31. Suri S, Utreja A. Management of a hyperdivergent Class III malocclusion, maxillary midline diastema, and infected mandibular incisors in a young adult. Am J Orthod Dentofacial Orthop 2003;124:725-34.
32. Kondo E, Aoba TJ. Nonsurgical and nonextraction treatment of skeletal Class III open bite: its long-term stability. Am J Orthod Dentofacial Orthop 2000;117:267-87.
33. Westwood PV, McNamara JA Jr, Baccetti T, Franchi L, Sarver DM. Long-term effects of Class III treatment with rapid maxillary expansion and facemask therapy followed by fixed appliances. Am J Orthod Dentofacial Orthop 2003;123: 306-20.
34. Garib DG, Henriques JF, Carvalho PE, Gomes SC. Longitudinal effects of rapid maxillary expansion. Angle Orthod 2007;77: 442-8.
35. Ferro A, Nucci LP, Ferro F, Gallo C. Long-term stability of skeletal Class III patients treated with splints, Class III elastics, and chincup. Am J Orthod Dentofacial Orthop 2003; 123:423-34.
36. Riedel RA. A review of the retention problem. Angle Orthod 1960;30:179-99.
37. Janson G, Caffer DC, Henriques JF, de Freitas MR, Neves LS. Stability of Class II, division 1 treatment with the headgear-activator combination followed by the edgewise appliance. Angle Orthod 2004;74:594-604.
38. Nanda RS, Nanda SK. Considerations of dentofacial growth in long-term retention and stability: is active retention needed? Am J Orthod Dentofacial Orthop 1992;101:297-302.
39. Teuscher U. A growth-related concept for skeletal Class II treatment. Am J Orthod 1978;74:258-75.
40. Bilodeau JE. Correction of a severe Class III malocclusion that required orthognatic surgery: a case report. Semin Orthod 1996;2: 279-88.
41. McNamara JA. A method of cephalometric evaluation. Am J Orthod 1984;86:449-69.
42. Scheideman GB, Bell WH, Legan HL, Finn RA, Reisch JS. Cephalometric analysis of dentofacial normals. Am J Orthod 1980;78: 404-20.
43. Steiner CC. The use of cephalometrics as an aid to planning and assessing orthodontic treatment. Am J Orthod 1960;46: 721-35.
Още блог статии
Sign up now for one of our courses
Our courses offer comprehensive training, combining solid theoretical foundations with practical skills applicable in various areas of dentistry.














