Extreme dentoalveolar compensation in the treatment of Class III malocclusion
Guilherme Janson,a José Eduardo Prado de Souza,b Flávio de Andrade Alves,c Pedro Andrade Jr,cAlexandre Nakamura,b Marcos Roberto de Freitas,a and José Fernando Castanha Henriquesd

The orthodontic treatment of an adult patient with a skeletal Class III malocclusion, increased anterior facial height, negative overjet, and bilateral posterior crossbite is presented. Treatment options included mandibular first premolar or third molar extractions with dentoalveolar compensation or combined surgicalorthodontic treatment. Mandibular third molar extraction with dentoalveolar compensation was the treatment choice. Biofunctional brackets, with accentuated lingual crown torque on the maxillary incisors and accentuated buccal crown torque on the mandibular incisors, were used. The anterior crossbite was corrected with intermaxillary elastics from the palatal aspect of the maxillary incisors to the labial aspect of the mandibular incisors. Class III elastics moved the maxillary teeth mesially and assisted in retruding the mandibular teeth. Patient compliance with the elastics was excellent, and satisfactory dentofacial esthetics were achieved. This treatment protocol has rigorous indications, and it is not a routine plan. The
mechanotherapy and the pros and cons of this approach are discussed. (Am J Orthod Dentofacial Orthop 2005;128:787-94)
AASSOCIATE PROFESSOR, DEPARTMENT OF ORTHODONTICS, BAURU DENTAL SCHOOL, UNIVERSITY OF SÃO PAULO.
BORTHODONTIC GRADUATE STUDENT, DEPARTMENT OF ORTHODONTICS, BAURU DENTAL SCHOOL, UNIVERSITY OF SÃO PAULO. CPRIVATE PRACTICE, SÃO PAULO.
DPROFESSOR, DEPARTMENT OF ORTHODONTICS, BAURU DENTAL SCHOOL, UNIVERSITY OF SÃO PAULO.
REPRINT REQUESTS TO: DR GUILHERME JANSON, DEPARTMENT OF ORTHODONTICS, BAURU DENTAL SCHOOL, UNIVERSITY OF SÃO PAULO, ALAMEDA OCTÁVIO PINHEIRO BRISOLLA 9-75, BAURU, SP, 17012-901, BRAZIL; E-MAIL, JANSONG@TRAVELNET.COM.BR.
SUBMITTED, JUNE 2004; REVISED AND ACCEPTED, AUGUST 2004.
0889-5406/$30.00
COPYRIGHT © 2005 BY THE AMERICAN ASSOCIATION OF ORTHODONTISTS.
DOI:10.1016/J.AJODO.2004.08.018
Class III malocclusion with a significant skeletal component is an orthodontic challenge, especially when a conservative approach is requested.An important factor for the successful treatment of this malocclusion is the facial growth pattern. A reduced lower anterior face height, deep overbite,and passive lip seal, associated with a Class III malocclusion, present a better prognosis, because treatmentinduced backward rotation of the mandible will assist in camouflaging the anteroposterior (A-P) discrepancy.1 When an increased lower anterior face height is associated with this malocclusion, surgical intervention is the treatment of choice, because any orthodontically induced mandibular clockwise rotation will increase the vertical facial dimensions and, consequently, cause lip incompetence.2 For patients reluctant to undergo surgery or who are satisfied with their facial appearance,an alternative is to treat with dentoalveolar compensation without correcting the underlying skeletal deformity. However, what are the limits of dentoalveolar compensation? Which mechanics provide significant dentoalveolar changes without unfavorable side effects? In an attempt to answer these questions, we present the orthodontic treatment of a patient with long-faced, skeletal Class III malocclusion with mandibular prognathism and negative overjet.
DIAGNOSIS AND ETIOLOGY
A 27-year-old woman came to the private office of the second author for orthodontic treatment. Her major reason for seeking treatment was to improve her facial esthetics. Clinical examination showed a typical skeletal Class III facial pattern, with severe mandibular prognathism, retruded upper lip, procumbent lower lip, and increased lower anterior face height. Her intraoral examination showed Class III molar and canine relationships with anterior and transverse bilateral crossbites (Fig 1). Slight irregularity of the maxillary and mandibular teeth was evident, and the curve of Spee was mild (Fig 2). The panoramic radiograph showed the absence of the right maxillary second premolar and the mandibular first molar, and the left maxillary and
mandibular first molars (Fig 3). Cephalometrically, the patient had a short posterior face height characterized by a short ramus and high gonial and mandibular plane angles, and a proportionally increased lower anterior face height.3 The maxillary central incisor was in good relationship with the basal bone, but the mandibular central was lingually tipped, compensating for the A-P discrepancy (Fig 4, Table). There was sound periodontal support, indicating that conventional orthodontic therapy could be undertaken.

Fig 1. Pretreatment facial and intraoral photographs.
TREATMENT OBJECTIVES
Overall treatment objectives consisted of correcting the compensatory tipping of the mandibular incisors and the A-P basal relationship by surgically advancing the maxilla and retruding the mandible. These changes were expected to greatly improve the patient’s facial esthetics. Limited treatment objectives were to correct the occlusal discrepancies by means of dentoalveolar compensation, which would produce some facial improvement.
TREATMENT ALTERNATIVES
Based on the objectives, 2 treatment options were proposed. To attain the overall objectives, combined surgical and orthodontic treatment with maxillary advancement and mandibular setback was proposed. However, the risks and treatment expenses would be high. The second option consisted of correcting the A-P discrepancy by means of maxillary and mandibular dentoaveolar compensation. To maximize mandibular dentoaveloar compensation, this protocol could involve extracting the mandibular third molars to permit uprighting the mesially inclined second molars and to
obtain space to retract the mandibular teeth. Although the risks and costs of this option were lower than the other option, it demanded more time and high patient compliance. The patient chose the second option, because she thought that the esthetic improvement possible with surgery would not be worth the increased cost and risk. She was reluctant to undergo surgery and was willing to accept a less-than-ideal result. Therefore, nonsurgical orthodontic treatment with extraction of mandibular third molars was performed to correct the occlusal malrelationship and to improve her facial
esthetics.
TREATMENT PROGRESS
The malocclusion was treated with the preadjusted, .022 .028-in Biofunctional System (Dentaurum, Pforzheim, Germany). Leveling and alignment of maxillary and mandibular arches began with round, stainless- steel wires. Concurrently, Class III elastics were combined with an anterior, intermaxillary elastic from palatal buttons on the maxillary central incisors to the mandibular incisor brackets to correct the anterior crossbite. Use of this elastic system continued up to placement of .017 .025-in stainless-steel and nickeltitanium archwires in the maxillary and mandibular
arches, respectively. Class III elastics and the afore-mentioned rectangular archwires were used for 12 and 6 months, respectively. Thereafter, ideal .017 .025-in stainless-steel archwires were placed. After 6 months of treatment, the decision was made to extract the mandibular third molars to maximize mandibular dentoalveolar retraction. The Class III bracket system applied lingual crown torque on the maxillary anterior teeth (0°) and labial crown torque on the mandibular anterior teeth (14°) to counteract the Class III elastics. The maxillary and mandibular canine slots were angulated 13° and 0°, respectively. The posterior crossbite was corrected by using wider maxillary archwires and a wider (0.6-mm) auxiliary buccal archwire, and by improving the A-P tooth relationship. After the anterior crossbite was corrected and a good occlusal relationship was attained, detailing and finishing were undertaken (Fig 5). Patient compliance in using the elastics was excellent. Total treatment time was 35 months. On the day of debonding, a maxillary Hawley retainer was delivered, and a mandibular canine-to-canine retainer was bonded.

Fig 2. Pretreatment study models.

Fig 3. Pretreatment panoramic radiograph.

Fig 4. Pretreatment cephalometric tracing.

A-Nperp, linear distance from A-point to perpendicular to Frankfortplane
through N; P-Nperp, linear distance from pogonion to perpendicular
to Frankfort plane through N; Ar-Go, linear distance from
articular to gonion; PoOr-MP, angle between line through porion and
orbitale and mandibular plane (mandibular plane angle); SN-OP,
angle between SN line and occlusal plane; ANS-Me, linear distance
from anterior nasal spine to menton (lower anterior face height);
U1.NA, angle between maxillary central incisor long axis and NA
line; U1-NA, linear distance from labial surface of maxillary central
incisor to NA line; L1.NB, angle between mandibular central incisor
long axis and NB line; L1-NB, linear distance from labial surface of
maxillary central incisor to NB line; P-NB, linear distance from
pogonion to NB line; U1.L1, angle between maxillary and mandibular
central incisors long axes; Gl=Sn-Pog=, angle formed between
soft tissue glabella, subnasale, and pogonion; Mentolabial sulcus,
angle between labrale inferior, point of greatest concavity between
lower lip and soft tissue chin, and soft tissue pogonion; Molar
relationship, linear anteroposterior distance between mesial surface
of maxillary left first molar and mean mesial surface of mandibular
second molar.
TREATMENT RESULTS
The posttreatment extraoral photographs show general improvement in the facial profile. The upper lip was protruded because of maxillary incisor proclination. Posttreatment intraoral photographs and dental casts show satisfactory dental alignment, Class I canine relationship on both sides, and normal overjet and overbite (Figs 6 and 7). The patient was satisfied with her teeth and profile. Good intercuspation, interproximal contacts, and satisfactory root parallelism were achieved (Fig 8). The final cephalometric tracing and superimposition show that the maxillary incisors were
protruded and tipped labially, and the maxillary molars were displaced mesially and extruded. The mandibular incisors were extruded and retracted (not apparent in the cephalometric measurements because of a concomitant retrusion of B-point), and the second molars were tipped distally (Figs 9 and 10, Table). As a consequence, there was a counterclockwise occlusal plane rotation. An appropriate dentoalveolar response was essential for success in this case.
DISCUSSION
The satisfactory occlusal and esthetic results obtained were due to significant dentoalveolar compensation and excellent patient compliance with elastics. With such a large initial dental and skeletal A-P discrepancy, one would rarely think of dentoalveolar compensation.4,5 The changes contributing most to the correction were maxillary incisor proclination, and the extrusion and bodily retrusion of the mandibular incisors with concurrent alveolar remodeling. These changes produced a counterclockwise rotation of the occlusal plane as expected (Table).6 Obviously, a surgical approach would have produced even better occlusal and esthetic results.5,7 The patient was reluc-tant to undergo surgery, and she demonstrated a very compliant attitude toward the treatment demands. Although there are many nonsurgically treated adult Class III case reports,8-12 few show such significant dental and skeletal discrepancies.6 It is not expected that the dentoalveolar portions of the maxilla and the mandible will respond with significant remodeling
after incisor movement.13-15 It is speculated that alveolar response to incisor movement resulted from the bracket system and the mechanics. Maxillary and mandibular preadjusted incisor brackets for Class III treatment usually have accentuated labial and lingual crown torque, respectively, to compensate for the A-P basal-bone discrepancy.16-18 However, in the Biofunctional technique, the torque on these teeth is reversed; ie, there is accentuated lingual crown torque on the maxillary incisors and accentuated labial crown torque on the mandibular incisors.19 As the Class III elastics apply forces tending to tip the maxillary incisors labially and the mandibular incisors lingually, the built-in torque counteracts their effect, and the teeth are subjected to bodily movement. Perhaps this bodily movement induces a greater alveolar remodeling response.20,21 Besides counteracting the Class III elastic effects, these torques tend to correct initial incisor inclination, especially in the mandibular arch.22 Our results show that the torques
maintained the mandibular incisor inclination. However, despite the compensating lingual torque in the maxillary brackets, the Class III elastic force still
caused proclination of these teeth (Figs 9 and 10; Table).
Dentoalveolar changes improved the soft tissue profile, with protrusion of the upper lip and slight retrusion of the lower lip (Figs 6 and 9); this is usually
expected in camouflage treatment.6,23 Because the initial transverse discrepancy was only mild,24 the bilateral posterior crossbite was corrected
by widening the maxillary archwires and using intermaxillary elastics. When such dramatic dentoalveolar changes are observed, a main concern is periodontal support.13 For maxillary incisors, the secondary effects could include resorption of the labial cortical plate with subsequent gingival recession, dehiscence, or fenestration. With mandibular incisors, it could be lengthening of the clinical crown or resorption of the lingual cortical
plate.13 However, none of these problems was detected. Periodontal evaluation showed a healthy condition 2 years posttreatment (Fig 11). This favorable response probably occurred because the patient’s initial periodontal condition was good; attached gingivae and plaque control were adequate.25 Periodontally compromised patients might not have such a satisfactory result.26 Extraction of the mandibular third molars could be considered a controversial treatment decision. This procedure was undertaken to allow distal movement of the mandibular teeth to correct the A-P relationship. It
could be argued that these teeth should have been maintained. However, as a mandibular superimposition demonstrated (not shown), extraction of the third molars allowed the second molars to tip distally, facilitating A-P correction, even though the tipping was not considerable. However, the maxillary third molars are out of occlusion and could extrude. This problem can be overcome by splinting them to the second molars.27 In addition, extraction of the third molars helped control the vertical dimension in a patient who had a clinically long face.28 An alternative and more common procedure would be to extract the mandibular first premolars.29 Nevertheless, because the first molars were already absent, it was believed that space closure would be more difficult, especially on the right side where the second premolar and second molar roots were divergent.

Fig 5. Intraoral progress photographs showing correction of anterior and posterior crossbites and
use of vertical intermaxillary elastics.

Fig 6. Posttreatment facial and intraoral photographs.

Fig 7. Posttreatment study models.

Fig 8. Panoramic radiograph taken 2 months before appliance removal.

Fig 9. Posttreatment cephalometric tracing.

Fig 10. Superposition of initial and final tracings on SN at S.

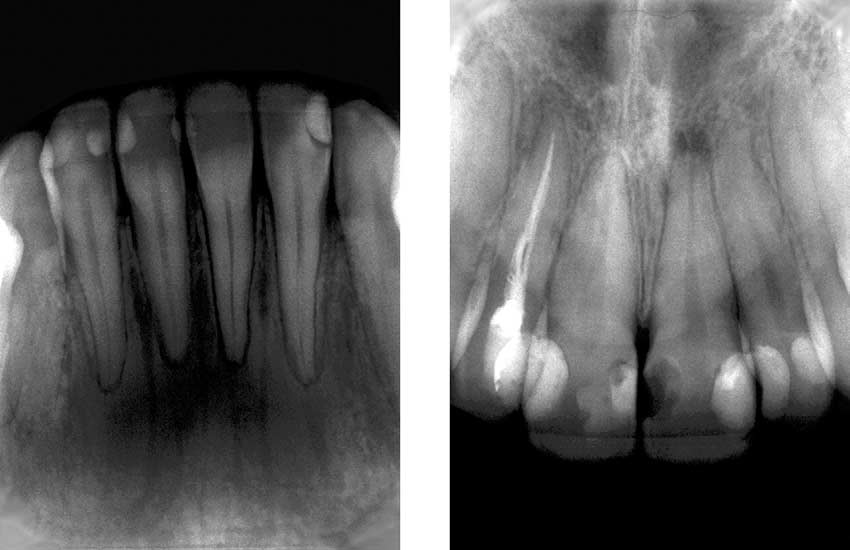
Fig 11. Two-year follow-up posttreatment periapical radiographs.
CONCLUSIONS
In undertaking the decision to treat such a severe Class III condition through dentoalveolar compensation, the clinician must weigh carefully the benefits and costs of this choice.30,31 Considering the reluctance of the patient to undergo surgery, if the benefits outweigh the costs, this approach can be chosen. Otherwise, it would be better not to engage in heroic orthodontic treatment in which a satisfactory result cannot be predicted. The mechanical technique described—Class III elastics and decompensating torque in the incisors— seemed to provide a stable dentoalveolar response in this patient.
References
1. Woodside D. Do functional appliances have an orthopedic effect? Am J Orthod Dentofacial Orthop 1998;113:11-4.
2. Bilodeau J. Vertical considerations in diagnosis and treatment: a surgical orthodontic case report. Am J Orthod Dentofacial Orthop 1995;107:91-100.
3. McNamara JA Jr. A method of cephalometric evaluation. Am J Orthod 1984;86:449-69.
4. Stellzig-Eisenhauer A, Lux C, Schuster G. Treatment decision in adult patients with Class III malocclusion: orthodontic therapy or orthognathic surgery? Am J Orthod Dentofacial Orthop 2002; 122:27-38.
5. Bilodeau J. Correction of a severe Class III malocclusion that required orthognathic surgery: a case report. Semin Orthod 1996;2:279-88.
6. Lin J, Gu Y. Preliminary investigation of nonsurgical treatment of severe skeletal Class III malocclusion in the permanent dentition. Angle Orthod 2003;73:401-10.
7. Dwyer P. Orthodontic and orthognathic surgical correction of a severe Class III malocclusion. Am J Orthod Dentofacial Orthop 1998;113:125-32.
8. Fukui T, Tsuruta M. Invisible treatment of a Class III female adult patient with severe crowding and cross-bite. J Orthod 2002;29:267-75.
9. Kondo E, Ohno T, Aoba T. Nonsurgical and nonextraction treatment of a skeletal Class III patient with severe prognathic mandible: long-term stability. World J Orthod 2001;2:115-26.
10. Hong R, Ahn J, Soh B. Correction of anterior crossbite with a combination technique. J Clin Orthod 1998;32:557-61.
11. Frank C. The nonsurgical orthodontic correction of a Class III malocclusion. Am J Orthod Dentofacial Orthop 1993;103:107-14.
12. Suri S, Utreja A. Management of a hyperdivergent Class III malocclusion, maxillary midline diastema, and infected mandibular incisors in a young adult. Am J Orthod Dentofacial Orthop 2003;124:725-34.
13. Sarikaya S, Haydar B, Ciger S, Ariyürek M. Changes in alveolar bone thickness due to retraction of anterior teeth. Am J Orthod Dentofacial Orthop 2002;122:15-26.
14. Wehrbein H, Bauer W, Diedrich P. Mandibular incisors, alveolar bone, and symphysis after orthodontic treatment: a retrospective study. Am J Orthod Dentofacial Orthop 1996;110:239-46.
15. Mulie R, Ten Hoeve A. The limitations of tooth movement within the symphysis studied with laminagraphy. J Clin Orthod 1976;10:882-99.
16. Andrews L. Straight-wire: the concept and appliance. San Diego: L.A. Wells; 1989.
17. Roth R. Treatment mechanics for the straight-wire appliance. In: Graber L, Swain B, editors. Orthodontics: current principles and techniques. Saint Louis: C.V. Mosby; 1985.
18. McLaughlin R, Bennett J, Trevisi H. Systemized orthodontic treatment mechanics. Saint Louis: Mosby; 2001.
19. Alves F. Orthodontics: biofunctional therapy. São Paulo: Editora Santos; 2003.
20. Wainwright W. Faciolingual tooth movement: its influence on the root and cortical plate. Am J Orthod 1973;64:278-302.
21. Goldin B. Labial root torque: effect on the maxilla and incisor root apex. Am J Orthod Dentofacial Orthop 1989;95:208-19.
22. Jacobs J, Sinclair P. Principles of orthodontic mechanics in orthognathic surgery cases. Am J Orthod 1983;84:399-407.
23. Lew K. Soft tissue profile changes following orthodontic treatment of Chinese adults with Class III malocclusion. Int J Adult Orthod Orthognath Surg 1990;5:59-65.
24. Bishara S, Staley R. Maxillary expansion: clinical implications. Am J Orthod Dentofacial Orthop 1987;91:3-14.
25. Maynard J Jr, Ochsenbein C. Mucogingival problems, prevalence and therapy in children. J Periodontol 1975;46:543-52.
26. Williams S, Melsen B, Agerbaek N, Asboe V. The orthodontic treatment of malocclusion in patients with previous periodontal disease. Br J Orthod 1982;9:178-84.
27. Picton D, Moss J. Short-term extrusion of isolated teeth of adult monkeys. Arch Oral Biol 1984;29:425-9.
28. Kim Y. Anterior openbite and its treatment with multiloop edgewise archwire. Angle Orthod 1987;57:290-321.
29. Pearson L. Vertical control through use of mandibular posterior intrusive forces. Angle Orthod 1973;43:194-200.
30. Turley P. The surgical-orthodontic management of a Class I malocclusion with excessive overbite and periodontal bone loss. Am J Orthod Dentofacial Orthop 1993;104:402-10.
31. Janson G, Janson M, Cruz K, Henriques J, Freitas M. Unusual orthodontic retreatment. Am J Orthod Dentofacial Orthop 2003; 123:468-75.
Още блог статии
Sign up now for one of our courses
Our courses offer comprehensive training, combining solid theoretical foundations with practical skills applicable in various areas of dentistry.














