Принудителна ортодонтска екструзия за очевидно безнадежден преден зъб чрез използване на опростен подход
ÁLVARO FERRANDO CASCALES, DDS, PHD,A RAÚL FERRANDO CASCALES, DDS, PHD,B JOSÉ LACAL LUJÁN, DDS, PHD,C ANDFRANCESC ABELLA SANS, DDS, PHDD

На кратко
ПРИ ВЪЗСТАНОВЯВАНЕ НА СИЛНО КОМПРОМЕТИРАНИ ЗЪБИ, КАТО СЕ ЗАЧИТА СУПРАКРЕСТАЛНОТО ТЪКАННО ПРИКРЕПВАНЕ И
ЗАПАЗВАНЕТО НА КОРОНАРНАТА И КОРЕНОВАТА СТРУКТУРА НА ЗЪБА Е ОТ СЪЩЕСТВЕНО ЗНАЧЕНИЕ ЗА ПОСТИГАНЕ НА
ДОСТАТЪЧНА ФЕРУЛА. ФОРСИРАНАТА ОРТОДОНТСКА ЕКСТРУЗИЯ Е МИНИМАЛНО ИНВАЗИВЕН МЕТОД, КОЙТО ПОЗВОЛЯВА
ЗАПАЗВАНЕ НА ТВЪРДИ И МЕКИ ТЪКАНИ. ТАЗИ СТАТИЯ ОПИСВА ЛЕЧЕНИЕТО НА ТЕЖКО УВРЕДЕН МАКСИЛАРЕН ЦЕНТРАЛЕН
РЕЗЕЦ, КОЕТО БЕШЕ ПОСТИГНАТО ЧРЕЗ ИЗПОЛЗВАНЕ НА ОПРОСТЕН МЕТОД НА ОРТОДОНТСКА ЕКСТРУЗИЯ С ИНТРАКОРОНАЛНИ
ЕЛАСТИЧНИ И МЕТАЛНИ ЛИГАТУРИ, ПРИЛОЖЕНИ ПРЕЗ ПАЛАТИНАЛНА ЛЕНТА И ПОСЛЕДВАНИ ОТ БИОЛОГИЧНО ОРИЕНТИРАНАТА
ТЕХНИКА ЗА ПОДГОТОВКА (BOPT). ТАЗИ ОРТОДОНТСКА ПРОЦЕДУРА НАМАЛЯВА ИЗМЕСТВАНЕТО НАПРЕД ПО ПОСОКА НА
ЧАСОВНИКОВАТА СТРЕЛКА ПО ВРЕМЕ НА ВЕРТИКАЛНА ЕКСТРУЗИЯ, КАТО ПО ТОЗИ НАЧИН ПОДДЪРЖА БУКАЛНАТА КОСТНА
ПЛАСТИНА. (J PROSTHET DENT 20-:2–2-);
Възстановяване на зъби с ограничена коронарна зъбна структура и дефекти на субкрестално ниво е предизвикателство. (1)Кариес, подготовка на подвенечен зъб, перфорация на корена, резорбция или фрактура, която прониква през гингивалния сулкус, обикновено се свързва с невъзстановими зъби освен ако границите на възстановяването са предотвратени от навлизане в биологичната ширина (BW).(2,3) Супракресталното тъканно прикрепване (STA), което наскоро замени термина BW, е дефинирано като хистологична структура на съединителния епител и супракресталното прикрепване на съединителната тъкан. (4)Съществува широк консенсус, че STA трябва да се остави непокътнат, независимо от вида на извършеното възстановяване. (5) Инвазията на STA може да причини гингивит или пародонтит, загуба на прикрепване, периодонтални джобове, кървене, нагнояване, подуване и рецесия на венците.6 -8
За разлика от традиционните протетични възстановявания, лепилата и композитните смоли позволяват по-консервативен подход към управлението на силно увредени зъби чрез намаляване на инвазивността. Независимо от това, трябва да се поддържа минимално разстояние между границата на възстановяване и нивото на костта, по-специално на нивото на съединителния епител.(9-11) Препоръчва се разстояние от най-малко 3 mm, за да се избегне засягане на коронарното прикрепване на пародонталната съединителна тъкан.(12-15) При липса на зъбна структура коронарна спрямо алвеоларната кост, може да се осигури накрайник чрез използване на хирургично удължаване на короната, интраалвеоларна трансплантация или ортодонтска екструзия.16,17
Ортодонтското екструдиране, известно още като принудително ортодонтско екструдиране, се дефинира като принудително движение на зъбите в аксиалната равнина, за да се промени позицията на зъбите и/или да се предизвикат промени в околната алвеоларна кост и меките тъкани. (18) Тази универсална и минимално инвазивна техниката може да се използва като алтернатива на хирургичното удължаване на короната и интраалвеоларната трансплантация.(18,19) През 1973 г. Heithersay (20) предлага използването на ортодонтска екструзия за терапевтичен край, различен от ортодонтското подреждане на зъбите, а Ingber (21,22) описва използването на ортодонтска екструзия за лечение на недостатъчна клинична дължина на короната за подходяща ферула, което в противен случай би изисквало или хирургично удължаване на короната, или екстракция като окончателно лечение. Тази техника за удължаване на короната беше подобрена от Pontoriero et al (23) с въвеждането на супракрестална фиберотомия, за да се възпрепятства едновременната миграция на периодонциума и екструдирания зъб.

Този клиничен доклад представя лечението на тежко увреден максиларен централен резец, управляван чрез използване на опростен метод на ортодонтска екструзия с интракоронални еластични и метални лигатури, наложени през палатинална лента и последвани от биологично ориентирана техника за подготовка (BOPT).
КЛИНИЧЕН ДОКЛАД
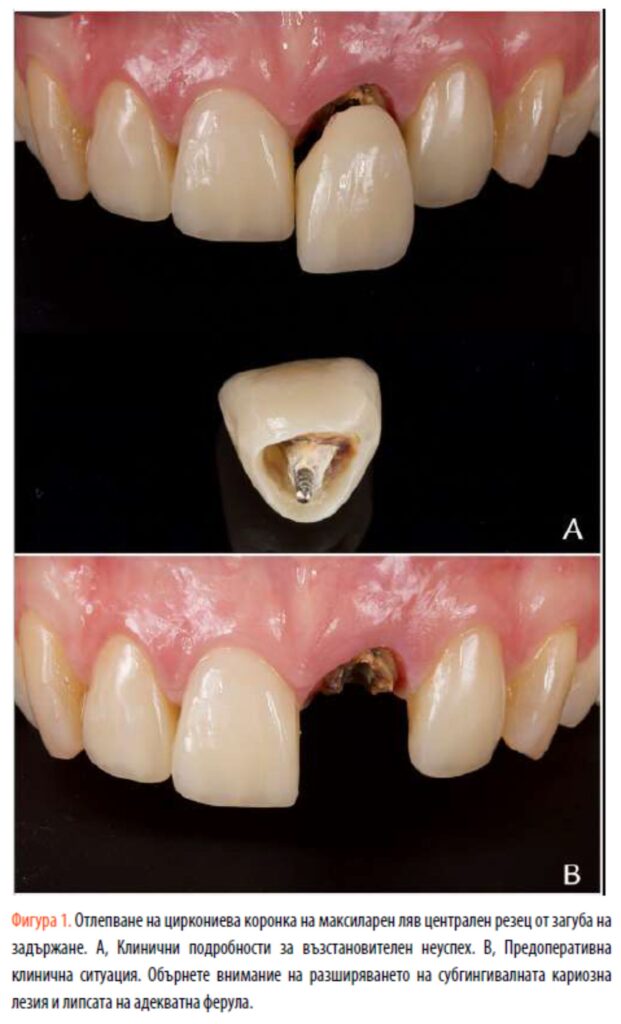
Жена на 55 години е насочена към частна практика за лечение на максиларен ляв централен резец. Тя съобщава за множество разлепвания на циркониева коронка върху зъба (фиг. 1A). Нейната медицинска история не е свързана със съпътстващи заболявания и тя не е била пушач. Останалият зъб имаше субгингивална кариозна лезия и недостатъчна ферула (фиг. 1B). Патологична подвижност не се наблюдава, а дълбочината на сондиране варира между 1,5 и 2 mm. Зъбът беше асимптоматичен при перкусия и палпация, а гингивалния ръб на зъба беше на същото ниво като максиларния десен централен резец. Ендодонтско повторно лечение не беше необходимо въпреки възможното коронарно изтичане, тъй като рентгенографското изследване показа добре обтуриран коренов канал и липса на периапикална лезия (фиг. 2А).
След обсъждане на различни възможности за лечение беше планиран интердисциплинарен подход, базиран на принудителна ортодонтска
екструзия. При локална анестезия кариозният дентин беше отстранен с борер от волфрамов карбид (H1.204.014; Komet). Оперативното поле беше изолирано с помощта на бариера (OptraDam; Ivoclar AG) и политетрафлуороетиленова (PTFE) лента, поставена като изместваща връв в сулкуса (фиг. 2B). Оптичен стълб (Blue X-Post #3; Dentsply Sirona) беше маркиран, намален до подходяща дължина с високоскоростен диамантен ротационен инструмент при водно охлаждане и абразиран с въздушни частици (AquaCare TWIN; Velopex) с 29 mm частици алуминиев оксид (Al2O3) (AquaAbrasion; Velopex) за 5 секунди (фиг. 2C). Частиците бяха отстранени с въздушна спринцовка за 5 секунди и повърхността на стълба беше почистена с 95% изопропилов алкохол и намокрена с моделираща течност (GC Corp) (фиг. 2D). Слой от глицеринов гел (K-Y лубрикантен гел; Johnson & Johnson) беше поставен вътре в кореновия канал, за да се предотврати или предотврати задържането на индивидуализирания кол с композит (Ceram.x Spectra ST. LV-A2; Dentsply Sirona). След 10-секунден цикъл на светлинна полимеризация (SmartLite Pro; Dentsply Sirona), щифтът беше отстранен и полимеризацията на композита беше завършена извън устата (фиг. 2E, 3A). Стените на дентина на кореновия канал бяха абразирани с въздушни частици за още 10 секунди с 50-mmA2lO3 (AquaCare; Velopex) и след това почистени с вода за 20 секунди. Коренните стени бяха изсушени с абсорбиращи хартиени върхове преди свързване. Prime&Bond active (Dentsply Sirona) в режим на самоецване със Self Cure Activator (Dentsply Sirona) беше приложен вътре в стените на кореновия канал за 20 секунди. Излишъкът от адхезив се отстранява с абсорбиращи хартиени накрайници и разтворителят се изпарява чрез лек въздушен поток за 5 секунди. Повърхността на композитната смола на щифта след това се активира повторно със същия протокол, използван преди, но замествайки композитната смола с адхезива за дентин, нанесен върху зъба. Циментирането на влакнест щифт и изграждането на сърцевината бяха извършени в 1 стъпка чрез нанасяне на двойно полимеризираща композитна смола (Core-X Flow; Dentsply Sirona) директно върху повърхността на влакнестия щифт и в кореновия канал (фиг. 3B-H).
Впоследствие цервикалната област на сърцевината беше перфорирана напречно с високоскоростен диамантен въртящ се инструмент (859-010; Intensiv AS), като се внимава да не се повреди влакнестият стълб (фиг. 4). Интракороналните еластични и метални лигатури бяха поставени през създадения отвор и бяха сменяни всяка седмица в продължение на 3 седмици.(24) Метален щифт с дебелина 1,5 mm беше адаптиран към палатиналните повърхности на предните зъби за закрепване на ортодонтската тракция и беше циментиран в максиларните кучешки зъби и първи премолари с композитна смола за насипно пълнене (SDR Flow; Dentsply Sirona) (фиг. 5).

На всеки седмичен ангажимент по време на активния период на екструзия е извършена периферна супракрестална фиберотомия, за да се предотврати коронарното изместване на гингивалния ръб. Подвижен фиксатор тип Essix с композитен ламиниран фурнир от смола беше произведен като междинно възстановяване (фиг. 6A, 6B). По време на фазата на екструзия периодично се правят периапикални рентгенографии, за да се определи степента на коронарното изместване и състоянието на периодонталния лигамент. Процедурата приключи, когато повърхността на корена беше достатъчно разкрита, за да се осигури оптимална ферула за протезата.
Тази ортодонтска техника осигурява 2,0 mm екструзия, постигайки втулка от около 3,0 mm букално и палатално и 2,5 mm интерпроксимално (фиг. 6C, 6D). След 6 седмици на задържане, зъбът беше вертикално подготвен чрез следване на техниката BOPT (фиг. 6EH). 25 Компютърно проектирана и компютърно произведена (CAD-CAM) коронка от композитна смола (Structur CAD; VOCO GmbH) беше пренастроен и адаптиран за моделиране на меките тъкани и беше поставен с междинен цимент за 3 месеца, за да се постигне гингивален контур, подобен на този на съседния зъб (фиг. 6G). Окончателното възстановяване от цирконий (Zirlux), наслоено с фелдшпатов порцелан, беше циментирано със самозалепващ се универсален цимент от смола (Calibra Universal bleach; Dentsply Sirona) (фиг. 7). 0,5 mm лента от полиран цирконий беше оставена в контакт с профила на поява.
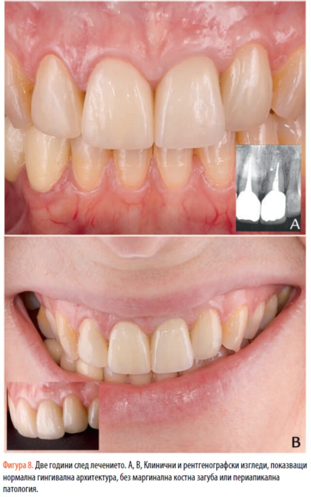
Пациентът беше извикван на 4 седмици и след това на 6, 12 и 24 месеца. Две години след лечението възстановителният ръб остава стабилен по отношение на гингивалния ръб (фиг. 8). Пациентът е асимптоматичен и периапикалната рентгенография не показва признаци на резорбция или ендодонтска недостатъчност.

ЗАКЛЮЧЕНИЕ
Възстановяването на компрометиран зъб за осигуряване на трайно пародонтално здраве може да изисква удължаване на короната, когато включва STA. Поставянето на маржово възстановяване върху здрава зъбна структура е от съществено значение за дългосрочната стабилност.
(26,27) Счита се, че е необходим накрайник от 1,5 до 2 mm за подобряване на биомеханичната функция на зъба.(15) Накрайникът за щифт и корона, задържана в сърцевината, е от решаващо значение за предотвратяване на счупване на зъб или корен, което вероятно прави накрайника по-важен от материала на щифта или адхезията на щифта към радикуларния дентин.(26) В допълнение, екстензивната подготовка на пространството за щифта беше избегната чрез персонализиране на щифта от фибростъкло, като по този начин се запази структурата на зъба, особено в перицервикалната област.
Хирургичното удължаване на короната е стандартната опция за увеличаване на клиничната височина на короната. Въпреки това, това включва няколко риска, като загуба на стабилно пародонтално прикрепване, вдлъбнатини и излагане на моларна фуркация, развитие на свръхчувствителност на дентина, лошо съотношение между корона и корен и нежелан неестетичен гингивален дизайн.(19) Следователно резекцията на костта може да не е винаги осъществима, особено при предни зъби, където естетическите изисквания са първостепенен фактор.28
Хирургическата екструзия или интраалвеоларната трансплантация предлага алтернатива за подобряване на възстановимостта и повторно установяване на STA и включва умишлено изместване на останалия корен по-коронално в рамките на гнездото.29 Въпреки това, успехът на тази технически чувствителна процедура зависи от атравматичната екстракция като същевременно минимизира увреждането на цементобластния слой и избягва фрактурата на корена.(29) Ортодонтското екструдиране е ефективно за удължаване на короната, като същевременно възстановява STA, поддържа алвеоларната кост и постига добра естетика.(18)
Ортодонтското екструдиране може също да бъде полезно за развитие на мястото на имплантиране , елиминиране или намаляване на пародонталните подкостни дефекти и естетични гингивални ръбове.(30) Сред ортодонтските апарати, използвани за принудително ортодонтско екструдиране, фиксираните апарати са стандартната опция за лечение (24); но и лечението, и стабилизирането са дълги. Този опростен подход с интракороналните еластични и метални лигатури съкращават процедурата, минимизират движенията напред по посока на часовниковата стрелка по време на вертикална екструзия и запазват букалната костна пластина. (31) След като зъбът е коронарен, супракресталната структура е по-тясна по отношение на алвеолата и съседните зъби. Този проблем и липсата на симетрия със съседните зъби бяха овладени чрез препариране на зъба с техниката BOPT. Този подход увеличава обема на коронарната мека тъкан чрез трансформиране на цервикалната част на междинната корона и не отслабва хоризонталната подготовка.(32)
Въпреки че принудителната ерупция не се използва рутинно, много клиницисти признават значението на клиничната височина на короната за дългосрочния успех на възстановяванията и количеството налична твърда и мека тъкан за бъдещо поставяне на импланти. В допълнение, тази универсална и минимално инвазивна техника предлага голяма свобода на действие и висока предсказуемост при управлението както на рутинни, така и на сложни мултидисциплинарни случаи. Липсват обаче базирани на доказателства насоки за подбор и управление на случаи, а изследванията относно възможните усложнения са ограничени.
ОБОБЩЕНИЕ
Принудителното ортодонтско екструдиране, комбинирано с техниката BOPT, може да се използва за управление на компрометирани зъби, за да се осигури граница на здрава тъкан за окончателното възстановяване. Освен това, възстановяването след ортодонтско изригване може да бъде по-малко инвазивно от протетичното възстановяване след екстракция.



РЕФЕРЕНЦИИ
1. Bruhnke M, Spies B, Beuer F, Neumeyer S. Forced orthodontic extrusion: a
practical therapy method for apparently hopeless teeth? A case report. Int J
Prosthodont. 2020;33:684e688.
2. Gargiulo A, Wentz F, Orban B. Dimensions and relation of the dentogingival
junction in humans. J Periodontol. 1961;32:261e267.
3. Stankiewicz NR, Wilson PR. The ferrule effect: a literature effect. Int Endod J.
2002;35:575e581.
4. Ghezzi C, Brambilla G, Conti A, Dosoli R, Ceroni F, Ferrantino L. Cervical
margin relocation: case series and new classification system. Int J Esthet Dent.
2019;14:272e284.
5. Sarfati A, Tirlet G. Deep margin elevation versus crown lengthening: biologic
width revisited. Int J Esthet Dent. 2018;13:334e356.
6. Padbury Jr A, Eber R, Wang HL. Interactions between the gingiva and the
margin of restorations. J Clin Periodontol. 2003;30:379e385.
7. Jepsen S, Caton JG, Albandar JM, et al. Periodontal manifestations of systemic
diseases and developmental and acquired conditions: consensus report
of Workgroup 3 of the 2017 World Workshop on the Classification of
Periodontal and Peri-Implant Diseases and Conditions. J Periodontol. 2018;89:
S237eS248.
8. Dietschi D, Spreafico R. Current clinical concepts for adhesive cementation of
tooth-colored posterior restorations. Pract Periodontics Aesthet Dent. 1998;10:
47e54.
9. Ingber JS, Rose LF, Coslet JG. The “biologic width”–a concept in periodontics
and restorative dentistry. Alpha Omegan. 1977;70:62e65.
10. Nevins M, Skurow HM. The intracrevicular restorative margin, the biologic
width, and the maintenance of the gingival margin. Int J Periodontics Restorative
Dent. 1984;4:30e49.
11. Wagenberg BD, Eskow RN, Langer B. Exposing adequate tooth structure
for restorative dentistry. Int J Periodontics Restorative Dent. 1989;9:322e331.
12. Ross SE, Garguilo A. The surgical management of the restorative alveolar
interface. Int J Periodontics Restorative Dent. 1982;2:8e31.
13. Deas DE, Moritz AJ, McDonnell HT, Powell CA, Mealey BL. Osseous surgery
for crown lengthening: a 6-month clinical study. J Periodontol. 2004;75:
1288e1294.
14. Gegauff AG. Effect of crown lengthening and ferrule placement on static load
failure of cemented cast post-cores and crowns. J Prosthet Dent. 2000;84:169e179.
15. Dietschi D, Duc O, Krejci I, Sadan A. Biomechanical considerations for the
restoration of endodontically treated teeth: a systematic review of the
literature – part 1. Composition and micro- and macrostructure alterations.
Quintessence Int. 2007;38:733e743.
16. Kim SH, Tramontina V, Passanezi E. A new approach using the surgical
extrusion procedure as an alternative for the reestablishment of biologic
width. Int J Periodontics Restorative Dent. 2004;24:39e45.
17. Juloski J, Radovic I, Goracci C, Vulicevic ZR, Ferrari M. Ferrule effect: a
literature review. J Endod. 2012;38:11e19.
18. González-Martín O, Solano-Hernandez B, González-Martín A, Avila-
Ortiz G. Orthodontic extrusion: guidelines for contemporary clinical practice.
Int J Periodontics Restorative Dent. 2020;40:667e676.
19. Fakhry A. Enhancing restorative, periodontal, and esthetic outcomes through
orthodontic extrusion. Eur J Esthet Dent. 2007;2:312e320.
20. Heithersay GS. Combined endodontic-orthodontic treatment of transverse
root fractures in the region of the alveolar crest. Oral Surg Oral Med Oral
Pathol. 1973;36:404e415.
21. Ingber JS. Forced eruption. I. A method of treating isolated one and two wall
infrabony osseous defects-rationale and case report. J Periodontol. 1974;45:
199e206.
22. Ingber JS. Forced eruption: part II. A method of treating nonrestorable
teeth–periodontal and restorative considerations. J Periodontol. 1976;47:
203e216.
23. Pontoriero R, Celenza Jr F, Ricci G, Carnevale G. Rapid extrusion with fiber
resection: a combined orthodontic-periodontic treatment modality. Int J
Periodontics Restorative Dent. 1987;7:30e43.
24. Hochman MN, Chu SJ, Tarnow DP. Orthodontic extrusion for implant site
development revisited: a new classification determined by anatomy and
clinical outcomes. Semin Orthod. 2014;20:208e227.
25. Loi I, Di Felice A. Biologically oriented preparation technique (BOPT): a new
approach for prosthetic restoration of periodontically healthy teeth. Eur J
Esthet Dent. 2013;8:10e23.
26. Naumann M, Schmitter M, Frankenberger R, Krastl G. “Ferrule comes first.
Post is second!” Fake news and alternative facts? A systematic review.
J Endod. 2018;44:212e219.
27. Zarow M, Ramírez-Sebastià A, Paolone G, de Ribot Porta J, Mora J, Espona J,
et al. A new classification system for the restoration of root filled teeth. Int
Endod J. 2018;51:318e334.
28. Pham HT, Nguyen PA, Pham TAV. Periodontal status of anterior teeth
following clinical crown lengthening by minimally traumatic controlled surgical
extrusion. Dent Traumatol. 2018;34:455e463.
29. Plotino G, Abella Sans F, Duggal MS, et al. Clinical procedures and outcome
of surgical extrusion, intentional replantation and tooth autotransplantation –
a narrative review. Int Endod J. 2020;53:1636e1652.
30. Salama H, Salama M, Garber D. Guidelines for aesthetic restorative options
and implant site enhancement: the utilization of orthodontic extrusion. Pract
Proced Aesthet Dent. 2002;14:125e130.
31. Casaponsa J, de Ribot D, Roig M, Abella F. Magnetic extrusion technique for
restoring severely compromised teeth: a case report. J Prosthet Dent. 2022;127:
542e549.
32. Agustín-Panadero R, Serra-Pastor B, Loi I, Suárez MJ, Pelaez J, Solá-Ruíz F.
Clinical behavior of posterior fixed partial dentures with a biologically oriented
preparation technique: a 5-year randomized controlled clinical trial.
J Prosthet Dent. 2021;125:870e876.
Corresponding author:
Dr Francesc Abella
Dentistry Faculty
Universitat Internacional de Catalunya
C/Josep Trueta s/n
Sant Cugat del Vallès 08195
SPAIN
Email: franabella@uic.es
Acknowledgments
The authors thank Manuel Mínguez Alcarriá for collaboration during the prosthetic
part of the treatment and Mark Lodge for language support in revising this
paper.
Copyright © 2022 by the Editorial Council for The Journal of Prosthetic Dentistry.
https://doi.org/10.1016/j.prosdent.2022.06.020
Още блог статии
Sign up now for one of our courses
Our courses offer comprehensive training, combining solid theoretical foundations with practical skills applicable in various areas of dentistry.















