Total Rehabilitation Using Adhesive Dental Restorations in Patients with Severe Tooth Wear: A 5-Year Retrospective Case Series Study

ÁLVARO FERRANDO CASCALES 1 , SALVATORE SAURO 2,3 , RONALDO HIRATA 4, DANIELA ASTUDILLO-RUBIO 5 ,
RAÚL FERRANDO CASCALES 1, RUBÉN AGUSTÍN-PANADERO 6,* AND ANDRÉS DELGADO-GAETE 5
- Department of Biomaterials Engineering, Faculty of Medicine, UCAM, Universidad Católica de Murcia, Los Jerónimos Campus, 135 Guadalupe, 30107 Murcia, Spain; aferrando@ucam.edu (Á.F.C.); rferrando@ucam.edu (R.F.C.)
- Dental Biomaterials and Minimally Invasive Dentistry, Department of Dentistry, University CEU Cardenal Herrera, C/Santiago Ramón y Cajal, s/n, Alfara del Patriarca, 46115 Valencia, Spain; salvatore.sauro@uchceu.es
- Department of Therapeutic Dentistry, I. M. Sechenov First Moscow State Medical University, 119146 Moscow, Russia
- Department of Biomaterials and Biomimetics, New York University College of Dentistry, New York, NY 10010, USA; rh1694@nyu.edu
- Division of Prosthodontics, School of Dentistry, Universidad Católica de Cuenca, Cuenca 010107, Ecuador; dastudillor87@gmail.com (D.A.-R.); andydg86@gmail.com (A.D.-G.)
- Prosthodontic and Occlusion Unit, Department of Stomatology, Faculty of Medicine and Dentistry, Universitat de València, 46010 Valencia, Spain
- * Correspondence: ruben.agustin@uv.es
Abstract:
Introduction: Currently, there is little clinical evidence to support the medium- and longterm
survival and clinical performance of ultraconservative approaches using adhesive restorations
in full-mouth restorations. The aim of this case series study was to evaluate the medium-term
clinical performance of anterior and posterior adhesive restorations applied with direct and indirect
techniques using resin composites and glass-ceramic-based materials. Materials and Methods: The
inclusion criteria were an esthetic problem as the main reason for consultation and severe generalized
wear of grade 2 to 4 according to the Tooth Wear Evaluation System (TWES 2.0). In addition, at
each follow-up appointment, patients were required to submit a clinical-parameter-monitoring
record according to the modified United States Public Health Service (USPHS) criteria. Results:
Eight patients with severe tooth wear were treated through full rehabilitation in a private dental
clinic in Spain by a single operator (AFC). A total of 212 restorations were performed, which were
distributed as follows: 66 occlusal veneers, 26 palatal veneers and 120 vestibular veneers. No signs of
marginal microleakage or postoperative sensitivity were observed in any occlusal, vestibular and/or
palatal restoration after the follow-up period. The estimated survival rate of the 212 restorations
was 90.1% over 60 months of observation, with a survival time of 57.6 months. Only 21 restorations
had complications, which were mostly resolved with a direct composite resin. The dichotomous
variables of the restoration type (posterior veneer, anterior veneer) and the type of restored tooth
(anterior, posterior) were the risk predictors with statistically significant influences (p < 0.005) on the
survival of the restorations. Conclusion: According to the results of this study, there is a significantly
higher risk of restorative complications in posterior teeth compared to anterior teeth. Also, it can be
concluded that the indication of adhesive anterior and posterior restorations is justified in the total
oral rehabilitation of patients with severe multifactorial tooth wear, as they are associated with a low
risk of failure.
Keywords: increasing vertical dimension; minimally invasive dentistry; tooth wear; ceramic veneers;
lithium disilicate; composite
Introduction
The current therapeutic approaches for the treatment of patients with severe tooth
wear deriving from minimally interventionist dentistry base their clinical application on the
excellent biomimetics and optimal mechanical and optical properties of both silica-based
glass ceramics and composite resin-based restorations. Due to their physical characteristics,
these materials achieve adequate adhesive strength when combined with different contemporary
adhesive systems [1–7]. Due to the great development that adhesive dentistry
has undergone, teeth affected by wear require minimal or no tooth preparation to achieve
optimal aesthetic and functional results, with minimal sacrifice of the remaining structure
by increasing the vertical dimension of occlusion (VDO) [8].
Dentition that has been subject to severe tooth wear because of chemical and/or
mechanical causes requires interceptive dental procedures to limit future caries or endodontic
treatments. These procedures are encompassed within full oral rehabilitations that
frequently involve an increase in VDO [8–10].
Regarding material selection, lithium disilicate has a high long-term stability and
better performance than composite resins [11,12]. However, in most studies, the financial
means of patients are not considered. Although it is certainly necessary to assume a
medium- to long-term re-intervention when choosing a composite resin, this is a feasible
option from both a biological and economic point of view [13–16]. Several techniques
using direct/indirect restorations of composite, ceramic or hybrid CAD/CAM materials
to reconstruct worn teeth and restore a functional occlusal pattern in a stable mandibular
position have been described [2,7,9,11,12].
In patients with severe dental wear, etiology is a risk factor for the restorative treatment
if it is not controlled. For example, patients with occlusal parafunction may exceed the
fatigue limits of different materials, which will increase the risk of fractures, or wear of
chemical origin may also compromise marginal integrity and increase microleakage [1,9].
Currently, there is little clinical evidence to support the medium- and long-term survival
and clinical performance of ultraconservative approaches using adhesive restorations
in full-mouth restorations [15–19]. The aim of this study was to evaluate the medium-term
clinical performance of anterior and posterior adhesive restorations performed with direct
and indirect techniques using composite resins and glass-ceramic-based materials, both
feldspathic and lithium disilicate, applied in patients with severe tooth wear who required
an interdisciplinary approach with increased VDO.
Materials and Methods
The study protocol was approved by the Catholic University of Cuenca (Cuenca,
Ecuador) Ethics Committee for Research Involving Humans (CEISH-UCACUE-2023-037).
The study protocol complied with the guidelines established in the Declaration of Helsinki.
All study participants received complete information on the objectives of the study, the
procedures involved, alternative treatment options and the risks involved. All study
participants gave informed consent to participate in the study.
The inclusion criteria were an esthetic problem as the main reason for consultation
and severe generalized wear of grade 2 to 4 according to the ToothWear Evaluation System
(TWES 2.0), which offers a complete taxonomy of tooth wear [20], including previous
indirect restorations in the anterior and posterior sectors and patients who had received
restorative treatment for at least 5 years. The patients’ medical records had to include initial
and final photographs, type IV plaster models mounted on a semi-adjustable articulator
(Panadent magentic PSH, Colton, CA, USA) or digital models with the initial and final
VDO after treatment.
Finally, a detailed description of the teeth treated, as well as the materials used in each
restoration, can be found in Refs. [7,8], including marginal adaptation, surface roughness,
restoration fracture, tooth fracture, secondary caries and postoperative sensitivity. No
exclusions were made based on the following factors: the etiology of wear (severe bruxism,
gastroesophageal reflux, etc.) and orthodontic and/or endodontic treatment prior to the
restorative process.
All patients were treated by an experienced operator, Álvaro Ferrando Cascales, DDS,
PhD (AFC), using a semi-additive restorative approach that included the following clinical
sequence:
1. An esthetic diagnosis using Digital Smile Design (DSD) [21].
2. The determination of VDO by means of an articulator set-up of the maxilla with a
Kois dentofacial analyzer [22] (Panadent magentic PSH, Colton, CA, USA) and of the
intermaxillary relations with the power centric manual induction technique [5].
3. Posterior sector: the diagnostic wax-up, fabrication and cementation of occlusal
restorations in maxillary and/or mandibular posterior teeth to achieve a balanced occlusion
with bilateral and simultaneous posterior contacts, thus restoring an adequate
height to the lower facial third [2–4].
4. Anterior guide: treatment using maxillary palatal veneers without dental preparation
and anteroinferior vestibular veneers for the provision of anterior guidance [3,4].
5. Final esthetics: anterosuperior vestibular veneers to achieve our final esthetic goals
planned in the diagnostic process.
The criteria for exclusion were patients with localized tooth wear of grade 1 according
to the TWES 2.0 criteria, periodontitis, severe gingival inflammation and a lack of
cooperation regarding hygiene instructions.
Clinical and photographic information from the medical records was collected independently
by two investigators, Andrés Delgado-Gaete, DDS, MsC, and Daniela Astudillo-Rubio,
DDS,MsC (ADG, DAR), from January to October 2022. The clinical characteristics collected
from the patients were sex, age, TWES 2.0 classification, whether or not they received orthodontic
treatment, the type of treatment per tooth (occlusal veneer, facial veneer or palatal
veneer), parafunction, the type of failure, time to failure and the solution (Table 1).

The survival rate was the main outcome variable, and the evaluation form for this
variable was determined by the survival time. It was defined as the time elapsed from the
successful adjustment of the restoration to the time when the restoration and/or restored
tooth presented a failure that required dental intervention. For the evaluation, survival
failures were considered as absolute when they met the following scores, according to the
modified USPHS criteria [23,24]: a fracture restoration score of 2 (minor chipping on the
restoration (1/4 of the restoration)), 3 (moderate chipping on the restoration (1/2 of the
restoration)), 4 (severe chipping (3/4 of the restoration)) or 5 (debonding of the restoration);
a secondary caries score of 1 (caries evidently continuous with the margin); a tooth fracture
score of 2 (minor chipping on the tooth (1/4 of the crown)), 3 (moderate chipping of the
tooth (1/2 of the crown)) or 4 (crown fracture near the cementum enamel line (extraction));
a surface roughness score of 2 (rough, cannot be refinished) or 3 (surface deeply pitted,
irregular grooves); and a postoperative sensitivity score of 1 (slight sensitivity).
Survival analyses were performed with statistical software (SPSS 24.0; SPSS Inc.,
Chicago, IL, USA). Kaplan–Meier and log-rank (Mantel-Cox) tests were used to obtain the
estimated survival and failure rates of the restorations at various time intervals, with the
following variables: the restoration material (composite and ceramic), treatment type (posterior
veneer and anterior veneer), parafunction (yes, no), TWES index (2, 3, 4), occlusion
type (classes I, II, III), dental arch (upper, lower) and orthodontic treatment (yes, no). The
univariate models were adjusted for each potential predictor using a Cox regression model,
transforming the variables into dichotomous variables and including the variable patient
as a random effect.
Results
This retrospective case series study included eight patients with a mean age of 46.6 years,
or six men with a mean age of 45.5 years and two women with a mean age of 50 years.
Four patients (50%) received orthodontic treatment (Figures 1–3 prior to the restorative
process with the aim of improving their sagittal, transverse and vertical maxillomandibular
relations, as well as dental alignment. Six patients (75%) also presented with occlusal
parafunction.


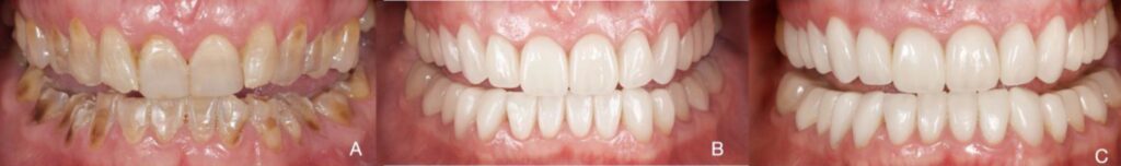
Figure 1. Patient 1. Generalized extreme pathological tooth wear (TWES 2.0). (A) Intraoral initial aspect
of one Sjogren’s syndrome diagnosed. Deep-bite occlusal relationships and severely worn anterior
teeth and severe tetracycline staining can be appreciated. (B) Intraoral aspect after orthodontic and
restorative treatment, emphasizing great aesthetic and functional improvement. Occlusal-vestibular
veneers from 1.6 to 2.6 and from 3.1 to 4.2. In the posteroinferior sectors (3.3–3.7 and 4.3–4.7), CAD-CAM
nanoceramic resins were used. (C) A 5-year follow-up photograph. Note the maintenance of occlusal
contact relationships, although there is slight wear of the posteroinferior sectors, as seen in the flattening
of the cusps. (D) Initial orthopantomography. (E) Final orthopantomography showing the supplement
of all teeth with an endodontic treatment in 4.5 due to previous necrosis.


Figure 2. Patient 2. Generalized severe pathological tooth wear (TWES 2.0). (A) Pre-orthodontic intraoral
situation showing a class II, division 2 occlusal relationship accompanied by severe crowding
in the mandible. (B) Occlusion after orthodontic and restorative treatment, showing considerable
aesthetic and functional improvement. (C) A 5-year follow-up photograph to underline the maintenance
of occlusal contact relationships. Slight chronic gingivitis due to plaque accumulation can be
observed. (D) Initial orthopantomography. (E) Final orthopantomography showing supplementation
from 1.6 to 2.6 and from 3.6 to 4.6 by means of occlusal and vestibular lithium disilicate veneers.


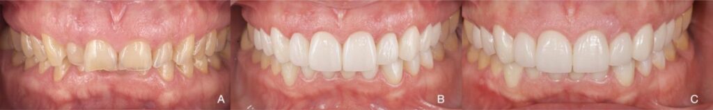
Figure 3. Patient 3. Generalized severe pathological tooth wear (TWES 2.0). (A) Intraoral situation:
deep bite and occlusal relationships shown by a patient with severely worn anterior teeth. (B) Occlusion
after orthodontic and restorative treatment, indicating aesthetic and functional improvement.
Felspathic vestibular veneers from 1.5 to 2.5, CAD-CAM nanoceramic palatal veneers from 1.3 to 2.3,
lithium disilicate veneers from 3.3 to 4.3 and a direct stamped composite resin in the posteroinferior
sectors (3.4–3.6 and 4.4–4.6). (C) A 5-year follow-up photograph. Note the maintenance of occlusal
contact relationships. (D) Initial orthopantomography. (E) Final orthopantomography showing the
supplementation of all teeth with an endodontic treatment in 1.4 due to previous necrosis.
A total of 212 restorations were performed, which were distributed as follows:
66 occlusal veneers, 26 palatal veneers and 120 vestibular veneers.
The occlusal and palatal veneers were fabricated with a CAD-CAM milled indirect
composite resin (Cerasmart.GC, Tokyo, Japan). The vestibular veneers were fabricated
with a classic feldspathic ceramic (Creation, Creation Willi Geller International GmbH,
Meiningen, Germany) and reinforced with lithium disilicate (E.max Press, Ivoclar Vivadent,
Schaan, Liechtenstein). The adhesive cementation of the restorations was performed with
a light-cured resin cement (Calibra veneer bleach, Dentsply sirona. Konstanz, Germany)
(Figures 4–6).
The clinical parameters of the 212 restorations studied with the modified USPHS
criteria for occlusal veneers, facial veneers and palatal veneers and their respective materials
are described in Table 1.
No signs of marginal microleakage or postoperative sensitivity were observed in any
of the occlusal, vestibular and/or palatal restorations after the follow-up period. The
hypersensitivity presenting in some patients before treatment was efficaciously eliminated
upon finishing the restorations. The surface roughness of all the restorations was within
the USPHS score range 0 and 1, and no failures were considered in the survival analysis.
The fracture of the restoration, according to the USPHS criteria, represented the highest
number of complications (18 of 212). Seventeen restorations showed slight chipping of 1/4
of the restoration (USPHS criteria, restoration score 2) which required clinician intervention,
and the defects were repaired with a composite resin. One restoration had decementation
(USPHS criteria, restoration score 5) and was recemented. We found one fractured tooth
(USPHS criteria, restoration score 4), which required extraction and the placement of a
dental implant to replace it. Finally, secondary caries lesions were found in two teeth
(USPHS criteria, caries score 1), one of which required root canal treatment and composite
resin repair, while the other required only composite resin repair.


Figure 4. Patient 4: Generalized severe pathological tooth wear (TWES 2.0). (A) Intraoral situation: inverted
occlusal plane shown for a patient with extremely worn anterior teeth associated with a compensatory
extrusion of the mandibular anterior teeth. (B) Occlusion after treatment, highlighting aesthetic
and functional improvement. (C) A 5-year follow-up photograph showing excellent periodontal health
with the total absence of recession, highlighting the maintenance of occlusal contact relationships.
(D) Initial orthopantomography. (E) Final orthopantomography showing the supplementation of
all teeth without endodontic treatments. Felspathic vestibular veneers from 1.2 to 2.2, CAD-CAM
nanoceramic resin palatal veneers from 1.3 to 2.3, and occlusal and vestibular veneers on 1.5, 1.4, 2.4
and 2.5. Finally, lithium disilicate veneers from 3.5 to 4.5 and 3.7, 4.7.


Figure 5. Patient 5: Generalized severe pathological tooth wear (TWES 2.0). (A) Intraoral situation:
edge-to-edge bite and occlusal relationships shown by a patient with severely worn anterior teeth,
(B) Intraoral appearance at 1 year. The aesthetic and functional improvement is remarkable, although
there is considerable plaque accumulation. (C) Follow-up photograph at 5 years, showing acute
gingivitis, which was treated successfully with a tartrectomy and the reinforcement of hygienic measures.
(D) Initial orthopantomography. (E) Final orthopantomography showing the supplementation
of all teeth. Lithium disilicate veneers from 1.4 to 2.3, CAD-CAM nanoceramic palatal veneers from
1.3 to 2.3, occlusal and vestibular direct composites on 1.5 and 2.5. Lithium disilicate veneers from
3.2 to 4.2, direct stamped composite resin in the posteroinferior sectors (3.3–3.4 and 4.3–4.7). One
implant in 1.5 and the change of the prosthesis on implants 3.5 and 3.6 can be noted. Finally, we must
mention a root canal treatment applied the teeth that had previous crowns.


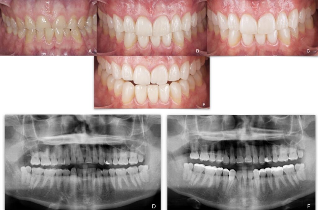
Figure 6. Patient 6: Generalized severe pathological tooth wear (TWES 2.0). (A) Intraoral situation:
edge-to-edge bite and occlusal relationships shown by a patient with severely worn anterior teeth.
A compensatory extrusion of the mandibular teeth can be appreciated (B) Occlusion after treatment,
showing considerable esthetic and functional improvement. (C) Follow-up photograph at 5 years
just after bicarbonate spray treatment, showing the maintenance of periodontal health at 5 years.
(D) Initial orthopantomography. (E) Final orthopantomography showing facial veneers from 1.6 to
2.6 and free-hand direct composites in the mandible (3.6–4.6).
The estimated survival rate of the 212 restorations was 90.1% during the 60 months
of observation, with a survival time of 57.6 months. Only 21 restorations had complications
requiring further intervention (Scheme 1). Most complications occurred at 2 and 5
years of follow-up, with estimated failure rates of 5% (10 restorations) and 6% (6 restorations),
respectively, followed by a failure rate of 2% (4 restorations) in the 3rd year and a
failure rate of 1% (1 restoration) in the 4th year of follow-up.

Scheme 1. Kaplan–Meier plot showing the survival curves of all restorations at 60 months of follow-up.
The type of treatment (occlusal veneer, facial veneer, palatal veneer) had a statistically
significant influence on the estimated survival rate (p < 0.000). Occlusal veneers had an
estimated survival rate of 79.1%, with rates of 94.1% for vestibular veneers and 100% for
palatal veneers (Scheme 2). Composite resin restorations had a mean survival rate of 86.3%,
while ceramic restorations had a survival rate of 93.1% (p = 0.107) (Scheme 3).
The variables studied, tooth wear classification, type of occlusion, dental arch, previous
orthodontic treatment, and use of occlusal splints did not have a statistically significant
influence on the estimated survival rate of the restorations at 60 months of follow-up
(p > 0.05). Teeth with a generalized tooth wear index of grade 2 or 3 had estimated survival
rates of 91.4% and 85.7%, respectively (p = 0.603). Restorations in patients with a class
II occlusion had a survival rate of 81.8% versus 92.6% and 95.2% in patients with class I
and III occlusions, respectively (p = 0.058). The survival rates for restorations placed in
the upper and lower jaw were 89.7% and 90.5%, respectively (p = 0.828). Restorations
placed in patients who received orthodontic treatment prior to the restorative phase had a
survival rate of 88.7% versus 91.2% for patients who had not received orthodontic treatment
(p = 0.540). Lastly, the survival of restorations in patients who wore occlusal bite guards
was 91.8%, while in those who did not, it was 84.6%, (p = 0.138).

Scheme 2. Kaplan–Meier plot showing the survival curves of different types of treatment.

Scheme 3. Kaplan–Meier plot showing the survival curves of different types of materials.
The univariate risk analysis of the predictors affecting the survival of restorations is
shown in Table 1. The dichotomous variable of restoration type (posterior veneer, anterior
veneer) was the risk predictor with a statistically significant influence (p < 0.005) on the
survival of the restorations. The use of a bite guard, type of occlusion, dental arch and
orthodontic treatment were not observed as predictor variables with statistically significant
influences on the survival of the restorations.
Discussion
Consensus in clinical management guidelines and evidence-based recommendations for
the choice of material and restoration type in this group of patients are limited [1,5,11–16].
Currently, the literature is sparse in terms of indications and scarce in evaluations of the
survival rates and clinical performance of different types of materials and restorations used to
perform full oral rehabilitations [7,9–19]. For example, the systematic review conducted by
Mesko et al. in 2016 [18] did not render an open picture, concluding that there is no strong
evidence to suggest that one material is better than another. Direct or indirect materials may
be feasible options to restore severely worn teeth [2,14–17].
There is no doubt that in vivo clinical studies allow for the testing of intraoral conditions
that cannot be fully reproduced in vitro, thus allowing for a true evaluation of
the behavior of new materials and techniques currently being performed in patients with
severe multifactorial tooth wear and, therefore, the extrapolation of specific indications. In
this regard, it is worth noting the prospective trial conducted by Gúth JF et al. on 12 patients
in 2020 [25], in which significantly less occlusal wear of lithium disilicate, as compared to
CAD-CAM composites, was observed over a follow-up of only 2 years.
In our study, although retrospective, ceramic and composite materials (anterior and
posterior) were equally evaluated over a controlled clinical follow-up of 5 years [6]. The
high cumulative survival rates are similar or slightly lower than the results obtained
in similar studies involving all types of adhesive restorations. Of note is the study by
Torosyan A et al. published in 2022, with an overall survival rate of 99% at 6 years for
406 restorations [26]. The 6-year survival rates were 97.3% for direct composites (anterior–
posterior); 98.2% for onlays, both composite and ceramic; and 100% for veneers, again both
composite and ceramic (p > 0.05). No differences were found between the materials and
locations of the restorations. The total of 19 technical complications included 14 partial
fractures, 3 fissures, 1 wear, and 1 decementation. The USPHS evaluation showed good
technical outcomes.
Nevertheless, our results, as in the case of Torosyan A et al., are in accordance with
the main conclusion of the study conducted by Loomans. B and Opdam. N in 2018 [14].
Restorations, including composites and veneers or crowns, do not prevent wear processes;
they simply modify the rate, location and nature of wear. Additionally, most restorations
that are considered “definitive” may have a limited service life in cases with severe tooth
wear due to bruxism and erosion. One of the most important aspects is the notion that
possible treatment options and anticipated complications should be explained to patients
in the informed consent process.
The literature is conclusive regarding the use of occlusal bite guards. Faus V et al., in
2020 [27], reported that bruxism patients who used bite guards showed a survival rate of
89.1% after 7 years, whereas the survival rate in bruxism patients who did not use guards
was 63.9% (p < 0.05). In the study by Torosyan et al. [26], the presence or absence of bite
guards did determine survival (p = 0.003). In our study, survival was 90.1% at 60 months of
observation, and the application of an occlusal bite guard had a positive influence on the
cumulative survival of restorations (hazard ratio 1.91; p < 0.149).
In our case series, all 212 restorations evaluated showed excellent clinical behavior
at the 5-year follow-up, while only 18 restorations showed 1/4 chipping (USPHS criteria,
restoration score 2). This very low failure rate is in accordance with the studies included in
the systematic review by Mesko et al., 2016 [28], and the survival rate reported by Milosevic
et al., 2016, at eight years [19]. The complications were easily repairable by the clinician
(AFC) (Figures 7 and 8), following an established evidence-based protocol [6,7,18,19].
This included 50-micron aluminum oxide sandblasting (Dento-prep. Ronvig, Daugaard,
Denmark) for the composite resin and hydrofluoric acid etching (Porcelain etch. Ultradent
Products, Inc., South Jordan, UT, USA) for the ceramic, followed by active cleaning with
37% orthophosphoric acid (Ultra-etch. Ultradent Products, Inc., South Jordan, UT, USA) for
2 min and the application of a silane-based bonding agent, which was heat-activated for
one minute with an LED polymerization lamp (Smartlite Pro. Dentsply Sirona, Konstanz,
Germany). Finally, a bonding agent belonging to a fourth-generation adhesive system
(Heliobond, Ivoclar Vivaldent, Schaan, Liechtenstein) was applied.
The survival rate, based on the type of treatment performed (occlusal veneer, facial
veneer, palatal veneer), also showed statistically significant differences (p < 0.05) with the
estimated survival rate, being lower for occlusal veneers compared to vestibular and palatal
veneers. This is probably because posterior restorations are subject to more fatigue and/or
wear than anterior restorations [29].
The restoration of worn dentitions is widely described in the literature [1–19]. With
the main advantage of adhesive restorations being the fact that a semi- or fully additive
approach is adopted, the study by Fradeani et al., conducted in 2021, concluded that the
cumulative survival rate recorded was 99.15%, with a ten-year survival probability of 96.5%.
These remarkable results strongly support the use of a Minimally Invasive Preparation
Procedure (MIPP) as a restorative option for severely worn dentitions [12].
In contrast, conventional classical tooth preparation approaches based on crown-type
restorations compromise more of the already deteriorated tooth structure [30]. Although
they have demonstrated equal long-term success, with 15–20-year survival rates ranging
between 50 and 80% [31], they deviate from the guidelines established in the latest European
consensus statement on the treatment of severely worn teeth [1] that advocate for the use
of adhesive, direct or indirect techniques, which usually allow for a second chance in cases
of the failure and/or wear of the previous restoration [32].

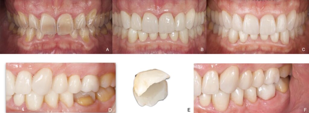
Figure 7. Patient 7. Generalized severe pathological tooth wear (TWES 2.0). (A) Intraoral situation:
edge-to-edge bite and occlusal relationships shown by a patient with severely worn anterior teeth.
We can observe a class III malocclusion that was solved with an extraction of the lower right central
incisor (4.1) associated with a complete orthodontic treatment prior to the restorative phase.
(B) Occlusion after orthodontic treatment (the extraction of 4.1 was necessary to alleviate crowding).
Restorative treatment was performed with composites in the mandible and feldesphatics ceramics in
the maxilla. The aesthetic and functional improvement is noteworthy. (C) Resolution of the fracture
with a direct composite resin. Note the maintenance of occlusal contact relationships and periodontal
health at 5 years. (D) Initial orthopantomography. (E) Follow-up at 4 years. Fracture of the incisal
edge of the ceramic veneer on 2.1 due to trauma with a glass bottle. (F) Final orthopantomography
showing direct stamped composite resin supplementation in the posteroinferior sectors (3.3–3.7 and
4.3–4.7) and feldesphatics veneers from 1.5 to 2.5 and on 4.2, 3.1 and 3.2.

Figure 8. Patient 8. Generalized severe pathological tooth wear (TWES 2.0). (A) Intraoral situation:
deep overbite and occlusal relationships shown by a patient with severely worn anterior teeth and
severe tetracycline staining. (B) Occlusion after restorative treatment from 1.6 to 2.6 with feldsphatic
veneers in the maxilla and from 3.2 to 4.2. CAD-CAM indirect nanoceramic resins were used for the
palatal veneers (1.3–2.3) and in the mandible (occlusal–vestibular from 3.3 to 3.7 and from 4.3 to 4.7).
From a patient perspective, the aesthetic and functional improvement is outstanding. (C) Follow-up
photograph at 5 years. Note the maintenance of occlusal contact relationships and periodontal health,
although there is recession in 1.3 and 1.2. (D) Fracture of CAD-CAM composite nanoceramic resin in
3.6 at 4 years. (E) Detail of the fractured fragment. (F) Re-bonding of the fractured fragment.
Conclusions
According to the results of this study, there is a significantly higher risk of restorative
complications in posterior teeth compared to anterior teeth (p < 0.005). However, the best
treatment for defective and/or partially fractured restorations is conservative management
based on direct repair. Replacements should be limited to very extensive fractures that
themselves compromise the restorations’ survival [33].
Considering the limitations of this study, including the sample size and great biological
variability in wear, it can be concluded that the indication of anterior and posterior adhesive
restorations is justified in the total oral rehabilitation of patients with severe multifactorial
tooth wear.
The adhesive restorative approach, regardless of the material chosen, presents a low
risk of failure at 5 years. The complications are sustainable in daily clinical practice.
AUTHOR CONTRIBUTIONS: CONCEPTUALIZATION, Á.F.C., R.F.C., A.D.-G., D.A.-R., S.S., R.H. AND R.A.-P.;
METHODOLOGY, D.A.-R., A.D.-G., Á.F.C., R.H. AND R.A.-P.; VALIDATION Á.F.C., R.F.C., S.S. AND R.A.-
P.; FORMAL ANALYSIS, Á.F.C., A.D.-G., D.A.-R. AND S.S.; INVESTIGATION, A.D.-G., D.A.-R. AND Á.F.C.;
RESOURCES, Á.F.C. AND R.F.C.; WRITING—ORIGINAL DRAFT PREPARATION, Á.F.C., R.F.C., R.H., A.D.-G. AND
D.A.-R.; WRITING—REVIEW AND EDITING Á.F.C., R.H., R.A.-P. AND S.S.; SUPERVISION, Á.F.C., R.F.C., S.S.,
R.H. AND R.A.-P.; PROJECT ADMINISTRATION, Á.F.C., R.F.C., A.D.-G. AND D.A.-R.; FUNDING ACQUISITION
A.D.-G. AND D.A.-R. ALL AUTHORS HAVE READ AND AGREED TO THE PUBLISHED VERSION OF THE MANUSCRIPT.
FUNDING: THIS RESEARCH RECEIVED NO EXTERNAL FUNDING.
INSTITUTIONAL REVIEW BOARD STATEMENT: NOT APPLICABLE.
INFORMED CONSENT STATEMENT: CEISH-UCACUE-2023-037.
DATA AVAILABILITY STATEMENT: INFORMATION IS AVAILABLE ON REQUEST IN ACCORDANCE WITH ANY RELEVANT
RESTRICTIONS (E.G., PRIVACY OR ETHICAL).
CONFLICTS OF INTEREST: THE AUTHORS DECLARE NO CONFLICT OF INTEREST.
REFERENCES
1. LOOMANS, B.; OPDAM, N.; ATTIN, T.; BARTLETT, D.; EDELHOFF, D.; FRANKENBERGER, R.; BENIC, G.; RAMSEYER, S.;WETSELAAR, P.; STERENBORG, B.;
ET AL. SEVERE TOOTH WEAR: EUROPEAN CONSENSUS STATEMENT ON MANAGEMENT GUIDELINES. J. ADHES. DENT. 2017, 19, 111–119. [PUBMED]
2. VAILATI, F.; BELSER, U.C. FULL-MOUTH ADHESIVE REHABILITATION OF A SEVERELY ERODED DENTITION: THE THREE-STEP TECHNIQUE. PART 1–3. EUR.
J. ESTHET. DENT. 2008, 3, 30–257. [PUBMED]
3. VAILATI, F.; GRUETTER, L.; BELSER, U.C. ADHESIVELY RESTORED ANTERIOR MAXILLARY DENTITIONS AFFECTED BY SEVERE EROSION: UP TO 6-YEAR
RESULTS OF A PROSPECTIVE CLINICAL STUDY. EUR. J. ESTHET. DENT. 2013, 8, 506–530.
4. VAILATI, F.; CARCIOFO, S. CAD/CAM MONOLITHIC RESTORATIONS AND FULL-MOUTH ADHESIVE REHABILITATION TO RESTORE A PATIENT WITH A
HISTORY OF BULIMIA: THE MODIFIED THREE-STEP TECHNIQUE. INT. J. ESTHET. DENT. 2016, 11, 36–56. [PUBMED]
5. FERRANDO-CASCALES, Á.; ASTUDILLO-RUBIO, D.; PASCUAL-MOSCARDÓ, A.; DELGADO-GAETE, A. A FACIALLY DRIVEN COMPLETE-MOUTH REHABILITATION
WITH ULTRATHIN CAD-CAM COMPOSITE RESIN VENEERS FOR A PATIENT WITH SEVERE TOOTH WEAR: A MINIMALLY INVASIVE APPROACH.
J. PROSTHET. DENT. 2020, 123, 537–547. [CROSSREF] [PUBMED]
6. ATTIN, T.; FILLI, T.; IMFELD, C.; SCHMIDLIN, P.R. COMPOSITE VERTICAL BITE RECONSTRUCTIONS IN ERODED DENTITIONS AFTER 55 YEARS: A CASE
SERIES. J. ORAL. REHABIL. 2012, 39, 73–79.
7. FREITAS, A.C., JR.; SILVA, A.M.; LIMA VERDE, M.A.; JORGE DE AGUIAR, J.R. ORAL REHABILITATION OF SEVERELY WORN DENTITION USING AN
OVERLAY FOR IMMEDIATE RE-ESTABLISHMENT OF OCCLUSAL VERTICAL DIMENSION. GERODONTOLOGY 2012, 29, 75–80. [CROSSREF]
8. ABDUO, J. SAFETY OF INCREASING VERTICAL DIMENSION OF OCCLUSION: A SYSTEMATIC REVIEW. QUINTESSENCE INT. 2012, 43, 369–380.
9. RESENDE, T.; REIS, K.; SCHLICHTING, L.; MAGNE, P. ULTRATHIN CAD-CAM CERAMIC OCCLUSAL VENEERS AND ANTERIOR BILAMINAR VENEERS FOR
THE TREATMENT OF MODERATE DENTAL BIOCORROSION: A 1.5-YEAR FOLLOW-UP. OPER. DENT. 2018, 43, 337–346.
10. MEHTA, S.B.; BANERJI, S.; MILLAR, B.J.; SUAREZ-FEITO, J.M. CURRENT CONCEPTS ON THE MANAGEMENT OF TOOTH WEAR: PART 4. AN OVERVIEW
OF THE RESTORATIVE TECHNIQUES AND DENTAL MATERIALS COMMONLY APPLIED FOR THE MANAGEMENT OF TOOTH WEAR. BR. DENT. J. 2012, 212,
169–177. [CROSSREF]
11. MALAMENT, K.A.; MARGVELASHVILI-MALAMENT, M.; NATTO, Z.S.; THOMPSON, V.; REKOW, D.; ATT, W. COMPARISON OF 16.9-YEAR SURVIVAL
OF PRESSED ACID ETCHED E.MAX LITHIUM DISILICATE GLASS-CERAMIC COMPLETE AND PARTIAL COVERAGE RESTORATIONS IN POSTERIOR TEETH:
PERFORMANCE AND OUTCOMES AS A FUNCTION OF TOOTH POSITION, AGE, SEX, AND THICKNESS OF CERAMIC MATERIAL. J. PROSTHET. DENT. 2021, 126,
533–545. [PUBMED]
12. FRADEANI, M.; BACHERINI, L.; TURRINI, R.; BUDA, M. MINIMALLY INVASIVE PROSTHETIC PROCEDURE (MIPP): UP TO 12-YEAR SURVIVAL OF
FULL-MOUTH REHABILITATIONS IN PATIENTS WITH SEVERELYWORN DENTITION (MANAGED WITH LITHIUM DISILICATE CERAMIC RESTORATIONS).
INT. J. PERIODONT. RESTOR. DENT. 2021, 41, 799–808. [CROSSREF] [PUBMED]
13. ELDERTON, R.J. CLINICAL STUDIES CONCERNING RE-RESTORATION OF TEETH. ADV. DENT. RES. 1990, 4, 4–9. [CROSSREF] [PUBMED]
14. LOOMANS, B.; OPDAM, N.A. GUIDE TO MANAGING TOOTH WEAR: THE RADBOUD PHILOSOPHY. BR. DENT. J. 2018, 22, 348–356. [CROSSREF]
15. LOOMANS, B.A.; KREULEN, C.M.; HUIJS-VISSER, H.E.; STERENBORG, B.A.; BRONKHORST, E.M.; HUYSMANS, M.C.; OPDAM, N.J. CLINICAL
PERFORMANCE OF FULL REHABILITATIONS WITH DIRECT COMPOSITE IN SEVERE TOOTH WEAR PATIENTS: 3.5 YEARS RESULTS. J. DENT. 2018, 70, 97–103.
16. GIANNINI, M.; HIRATA, R. 25 YEARS OF CLINICAL EXPERIENCE IN ADHESIVE DENTISTRY. J. ADHES. DENT. 2020, 22, 331–333. [PUBMED]
17. BARTLETT, D.; SUNDARAM, G. AN UP TO 3-YEAR RANDOMIZED CLINICAL STUDY COMPARING INDIRECT AND DIRECT RESIN COMPOSITES USED TO
RESTORE WORN POSTERIOR TEETH. INT. J. PROSTHODONT. 2006, 19, 613–617.
18. HAMBURGER, J.T.; OPDAM, N.J.; BRONKHORST, E.M.; KREULEN, C.M.; ROETERS, J.J.; HUYSMANS, M.C. CLINICAL PERFORMANCE OF DIRECT
COMPOSITE RESTORATIONS FOR TREATMENT OF SEVERE TOOTH WEAR. J. ADHES. DENT. 2011, 13, 585–593.
19. MILOSEVIC, A.; BURNSIDE, G. THE SURVIVAL OF DIRECT COMPOSITE RESTORATIONS IN THE MANAGEMENT OF SEVERE TOOTH WEAR INCLUDING
ATTRITION AND EROSION: A PROSPECTIVE 8-YEAR STUDY. J. DENT. 2016, 44, 13–19. [CROSSREF]
20. ROEHL, J.C.; JAKSTAT, H.A.; BECKER, K.; WETSELAAR, P.; OLIVER-AHLERS, M. TOOTHWEAR EVALUATION SYSTEM (TWES) 2.0— RELIABILITY OF
DIAGNOSIS WITH AND WITHOUT COMPUTER- ASSISTED EVALUATION. J. ORAL. REHABIL. 2022, 49, 81–91. [CROSSREF]
21. COACHMAN, C.; SESMA, N.; BLATZ, M.B. THE COMPLETE DIGITAL WORKFLOW IN INTERDISCIPLINARY DENTISTRY. INT. J. ESTHET. DENT. 2021, 16,
34–49. [PUBMED]
22. KOIS, D.E.; KOIS, J.C. COMPREHENSIVE RISK-BASED DIAGNOSTICALLY DRIVEN TREATMENT PLANNING: DEVELOPING SEQUENTIALLY GENERATED
TREATMENT. DENT. CLIN. N. AM. 2015, 59, 593–608. [CROSSREF] [PUBMED]
23. CERUTTI, A.; BARABANTI, N.; ÖZCAN, M. CLINICAL PERFORMANCE OF POSTERIOR MICROHYBRID RESIN COMPOSITE RESTORATIONS APPLIED USING
REGULAR AND HIGH-POWER MODE POLYMERIZATION PROTOCOLS ACCORDING TO USPHS AND SQUACE CRITERIA: 10-YEAR RANDOMIZED
CONTROLLED SPLIT-MOUTH TRIAL. J. ADHES. DENT. 2020, 22, 343–351.
24. SMIELAK, B.; ARMATA, O.; BOJAR,W.A. PROSPECTIVE COMPARATIVE ANALYSIS OF THE SURVIVAL RATES OF CONVENTIONAL VS. NO-PREP/MINIMALLY
INVASIVE VENEERS OVER A MEAN PERIOD OF 9 YEARS. CLIN. ORAL. INVESTIG. 2022, 26, 3049–3059. [CROSSREF] [PUBMED]
25. GÜTH, J.F.; ERDELT, K.; KEUL, C.; BURIAN, G.; SCHWEIGER, J.; EDELHOFF, D. IN VIVO WEAR OF CAD-CAM COMPOSITE VERSUS LITHIUM
DISILICATE FULL COVERAGE FIRST-MOLAR RESTORATIONS: A PILOT STUDY OVER 2 YEARS. CLIN. ORAL. INVESTIG. 2020, 24, 4301–4311. [CROSSREF]
26. TOROSYAN, A.; VAILATI, F.; MOJON, P.; SIERRA, D.; SAILER, I. RETROSPECTIVE CLINICAL STUDY OF MINIMALLY INVASIVE FULL-MOUTH REHABILITATIONS
OF PATIENTS WITH EROSIONS AND/OR ABRASIONS FOLLOWING THE “3-STEP TECHNIQUE”. PART 1: 6-YEAR SURVIVAL RATES AND TECHNICAL OUTCOMES
OF THE RESTORATIONS. INT. J. PROSTHODONT. 2022, 35, 139–151. [CROSSREF]
27. FAUS-MATOSES, V.; RUIZ-BELL, E.; FAUS-MATOSES, I.; ÖZCAN, M.; SALVATORE, S.; FAUS-LLÁCER, V.J. AN 8-YEAR PROSPECTIVE CLINICAL
INVESTIGATION ON THE SURVIVAL RATE OF FELDSPATHIC VENEERS: INFLUENCE OF OCCLUSAL SPLINT IN PATIENTS WITH BRUXISM. J. DENT. 2020,
99, 103352. [CROSSREF]
28. MESKO, M.E.; SARKIS-ONOFRE, R.; CENCI, M.S.; OPDAM, N.J.; LOOMANS, B.; PEREIRA-CENCI, T. REHABILITATION OF SEVERELY WORN TEETH: A
SYSTEMATIC REVIEW. J. DENT. 2016, 48, 9–15. [CROSSREF]
29. OSIEWICZ, M.A.;WERNER, A.; ROETERS, F.J.M.; KLEVERLAAN, C.J.WEAR OF DIRECT RESIN COMPOSITES AND TEETH: CONSIDERATIONS FOR ORAL
REHABILITATION. EUR. J. ORAL. SCI. 2019, 127, 156–161. [CROSSREF]
30. BURKE, F.J.T.; LUCAROTTI, P.S.K. THE ULTIMATE GUIDE TO RESTORATION LONGEVITY IN ENGLAND AND WALES. PART 10: KEY FINDINGS FROM A TEN
MILLION RESTORATION DATASET. BR. DENT. J. 2018, 225, 1011–1018. [CROSSREF]
31. BADER, J.D.; SHUGARS, D.A. SUMMARY REVIEW OF THE SURVIVAL OF SINGLE CROWNS. GEN. DENT. 2009, 57, 74–81. [PUBMED]
32. DIETSCHI, D.; SARATTI, C.M. INTERCEPTIVE TREATMENT OF TOOTH WEAR: A REVISED PROTOCOL FOR THE FULL MOLDING TECHNIQUE. INT. J. ESTHET.
DENT. 2020, 15, 264–286. [PUBMED]
33. MARTINS, B.M.C.; SILVA, E.J.N.L.D.; FERREIRA, D.M.T.P.; REIS, K.R.; FIDALGO, T.K.D.S. LONGEVITY OF DEFECTIVE DIRECT RESTORATIONS TREATED
BY MINIMALLY INVASIVE TECHNIQUES OR COMPLETE REPLACEMENT IN PERMANENT TEETH: A SYSTEMATIC REVIEW. J. DENT. 2018, 78, 22–30.
[CROSSREF] [PUBMED]
DISCLAIMER/PUBLISHER’S NOTE: THE STATEMENTS, OPINIONS AND DATA CONTAINED IN ALL PUBLICATIONS ARE SOLELY THOSE OF THE INDIVIDUAL
AUTHOR(S) AND CONTRIBUTOR(S) AND NOT OF MDPI AND/OR THE EDITOR(S). MDPI AND/OR THE EDITOR(S) DISCLAIM RESPONSIBILITY FOR ANY INJURY TO
PEOPLE OR PROPERTY RESULTING FROM ANY IDEAS, METHODS, INSTRUCTIONS OR PRODUCTS REFERRED TO IN THE CONTENT.

Още блог статии
Sign up now for one of our courses
Our courses offer comprehensive training, combining solid theoretical foundations with practical skills applicable in various areas of dentistry.















